リッジエスクパンションII(骨幅の狭いところへのインプラント埋入)
下顎臼歯部両側にリッジエスクパンションでインプラント埋入治療をおこないました。
下顎臼歯部は上顎に比べ、骨が固く、下顎管(神経や血管)があるため、非常に割れやすく、歯槽骨を破折しないように細心の注意を払う必要があります。ボーンコンプレションと超音波医療機器ピエゾサージェリーを使用しました。
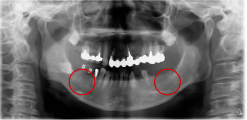
Before

治療前のエックス線です。赤丸に埋入予定です。

ボーンコンプレション

ピエゾサージェリー
向かって右下のCTです。

顎骨が3角に薄くなっています。
術後のCTです。

向かって左下の術前のCTです。
向かって左下の術前のCTです。

術後のCTです。

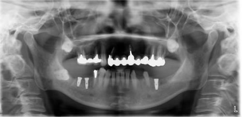
術後のエックス線です。
After

骨が薄くインプラントは出来ないといわれた方でも、当院ではインプラントを可能にできる場合があります。一度ご相談ください。