Endodontics
精密根管治療

2つの分野の専門知識を
活用した精密根管治療
精密根管治療
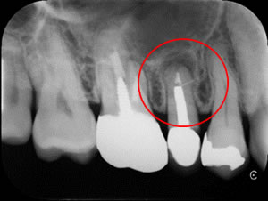
重度のむし歯では、歯の神経まで感染が及ぶことがあります。
そのような場合、根管治療(歯の根の治療)が必要です。まず、感染した神経組織や壊死した組織を徹底的に除去します。次に、根管内を特殊な薬剤で洗浄・殺菌し、再感染を防ぐために根管充填材で封鎖。最後に、歯冠部を被せ物で保護し、治療を完了します。根管治療は高度な技術を要しますが、歯を抜かずに保存できる可能性を高めます。
精密根管治療について
~歯を抜きたくない、歯を残したい方へ~

近年むし歯の数は年ごとに減ってきています。しかし根管治療においては、日本は際立って再治療が多いといわれる国です。
根管治療の技術革進は大きく進化しています。
いくら丁寧に長い時間かけた根管治療をしても使う器材器具が古く、旧来の考え方ですと、再治療が多いという現実は変わりません。
- 治療期間
- 約1ヶ月
- 治療回数
- 約5回
メリット
- 精密機器を通して治療にあたることで、抜歯をすすめられた場合でも自身の歯を残せるケースがあります
- むし歯の再発防止に繋がります
- 神経を除去するためむし歯による痛みがなくなります
デメリット
- 保険対象外となり治療費が高額になる可能性があります
- 来院が複数回に及ぶことがあります
- 根管治療後、熱や痛みが出る場合があります
- 複雑な根管の場合、治療の成功率は下がる傾向があります
Point
「精度のよい被せ物」をおすすめする理由
根管治療を成功させるだけでなく、その後の歯の寿命を左右するのが被せ物の質です。当院では、保険適用外となりますが、接着性に優れたセラミック製の被せ物を推奨しています。
セラミックは見た目の美しさだけでなく、細菌が付着しにくく、歯との接着性が高いため、根管への再感染リスクを最小限に抑えられます。
精密根管治療の特徴
診療時間に余裕をもって取り組めます

精密根管治療では1回の治療時間を長めにとり(最低60分以上)、治療回数は症例によりますが、2から3回で終了します。根の病気が治らないときは、外科的歯内療法という処置をおこないます。
従来の一般的根管治療は1回の治療時間が30分前後、短いと15分ということもあります。治療回数が多く、長いときは数か月ほど行うこともあります。治療回数が多いほど感染率が高くなります。
マイクロスコープ(手術用顕微鏡)を使用します

精密根管治療(世界基準レベル)はマイクロスコープ(手術用顕微鏡)を用いる事により歯の内部構造や感染源を直接見ながら治療ができるようになり、成功率が大幅にアップします。従来の一般的な根管治療は見えない歯の中をレントゲンを参考に、勘に頼りながら行う手探り治療です。
Point
マイクロスコープの視界
肉眼では見えない根管内部を数十倍に拡大して観察できる歯科用顕微鏡がマイクロスコープです。複雑に入り組んだ根管の隅々まで確認しながら治療を進めることで、感染源の取り残しを防ぎ、治療の成功率を大幅に向上させます。
また、歯周病治療においても、歯石の取り残しを最小限に抑えることができ、より確実な治療結果につながります。
ラバーダムによる防湿

根管治療を成功させるのに最も重要なことは、唾液からの細菌の感染を防ぐためのラバーダムの装着です。ラバーダムとは、治療を行うときに歯に装着するゴムのことです。口全体を覆って治療する歯だけを出すので、細菌がお口の中に入るのを最大限防ぐことができます。日本では一般的な根管治療ではラバーダムを使用しません。
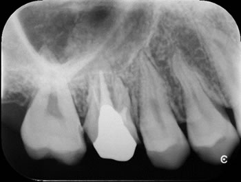
歯科用CT撮影による精密検査

歯科用CTは、X線での断層撮影を行い、コンピューターでのデータ処理・再構成によって、歯や顎骨の状態、神経の位置、血管の位置などを3次元画像で確認できます。
今まで見えなかった病巣や、解らなかった歯の形が鮮明に浮かび上がってきます。顕微鏡との併用により、根管治療の成功率アップに、特に再治療時の診断に大きな貢献をいたします。
ファイル・エレメントモーター

根管治療では、むし歯に侵された神経を除去するために「ファイル」と呼ばれる器具を使用します。
一般的な根管治療で使用されるステンレスファイルは固すぎるため根管を痛め直線化してしまいます。精密根管治療では十分な柔軟性を持ち、より神経を除去できるニッケルチタンファイルとアダプティブモーションを備えているエレメントモーターを使用し、しっかりと汚れをとりパワーを備え、ある一定以上の負荷がかかると一時停止・逆回転して、組織の削りすぎを防ぎます。
Point
エレメントモーターの仕様
根管治療では、細く複雑な形状の根管を適切に拡大・清掃する必要があります。エレメントモーターは、この作業を安全かつ効率的に行うための専用機器です。
またエレメントモーターのアダプティブモーションで、ファイルの食い込みと根尖への切削紛溢出を軽減します。
精密根管治療の治療費
-
前歯 90,000円
-
大臼歯 150,000円
※目安の費用です。正確な費用は、検査・カウンセリングの後にご案内いたします
根管治療後も再発を目指した予防を

根管治療が終了しても、それで安心というわけではありません。歯の根の内部は、非常に複雑な構造をしているため、定期的な検査により、再発の兆候を早期に発見することが重要です。
日々の丁寧なブラッシングと、歯科医院での定期的なメインテナンスを継続できれば、治療した歯を長期間健康に保つことができます。
