Esthetics
審美歯科

歯と一緒に歯肉も
きれいに整える審美歯科
審美歯科
審美歯科治療では、歯の形や色、位置を整えることで、口元の見た目を美しく改善することができます。しかし、見た目だけにとらわれるのではなく、歯の噛む機能や健康、さらに歯肉との調和も考慮した治療が重要です。歯と歯肉のバランスが整ってはじめて、自然で美しい笑顔が実現します。そのためには、一人ひとりに合った丁寧な治療計画が欠かせません。
こんなお悩みありませんか?
- 今よりも歯を白くしたい
- 歯の並びや隙間が気になる
- 銀歯をセラミックに変えたい
- 笑った時の歯ぐきが気になる
- 歯ぐきのくすみや黒ずみをとりたい
- 金属アレルギーが心配
1つでも当てはまる方は、ぜひ当院へご相談ください!!
江俣歯科医院ならではの審美セラミック治療
口元の美しさは歯の「色」や「形」だけでなく、「歯肉」が大きく関係しています。
白い歯と綺麗な歯肉のバランスが審美セラミック治療の成功のポイントです。

審美セラミック治療を長持ちさせるための基本治療の徹底
当院では、単に歯を美しくするだけの治療は行っておりません。大切なのは、美しくした歯をどれだけ維持できるか。
そのために、当院では歯周基本治療を徹底して行っています。初期治療とはむし歯や歯周病治療のことで、これらを放置したままセラミック治療を進めると、美しさを持続させるのが難しくなってしまうからです。
「早く綺麗になりたい」というお気持ちも十分お察しします。しかし、せっかく受けた治療の効果がすぐになくなってしまうかもしれない・・・そのことを一度考えていただいたうえで、治療を進めていただきたいと思います。

歯周病専門医・指導医が整える歯肉のゴールデンプロポーション
歯ぐきのラインは笑顔の印象を大きく左右する大切な要素です。歯肉が下がると、歯が長く見えてしまい、老けた印象を与えることがあります。
当院では、日本歯周病学会認定の歯周病専門医が行う歯肉移植術によって、後退した歯ぐきを自然な形に整え、バランスのとれた美しいスマイルラインを再構築いたします。審美歯科においては、歯だけでなく歯ぐきの色・形・位置も非常に重要です。
歯肉移植により、審美性と機能性の両立を目指した治療をご提供いたします。「歯が長く見える」「笑ったときの歯ぐきの見え方が気になる」といったお悩みは、ぜひお気軽にご相談ください。

マイクロスコープ/高倍率ルーペを使用した低侵襲な治療
審美歯科治療では、わずかな誤差が仕上がりの美しさを左右します。
当院では、マイクロスコープ(歯科用顕微鏡)や高倍率ルーペを活用し、細部までこだわった繊細な審美治療を実現しています。歯と歯ぐきの境界や、詰め物・被せ物の境目など、目では見えにくい部分も拡大して確認することで、自然で美しい仕上がりに導くことが可能です。
より美しく、自然な口元を目指す皆さんに、精密で安心の審美歯科をご提供いたします

審美セラミストとの連携による精密な補綴物の作製
患者さんの個性ある歯を周りの歯と同じように違和感なく再現することは、技術力の高い歯科技工士なくしては成立いたしません。
歯科技工士の中でも特に、セラミックを天然歯の色調・形に近づけること、忠実に再現する技術にもつ審美セラミック技工士(セラミスト)が担当します。
歯周病専門医とセラミストが連携することにより、美しい歯肉と美しい歯の両立がかなえられ、より精度の高い治療をご提供することに繋がっています。
当院の審美歯科の代表症例
天然歯に近い仕上がりを手に入れるために
歯周治療 ジルコニアオールセラミッククラウン
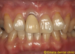
Before

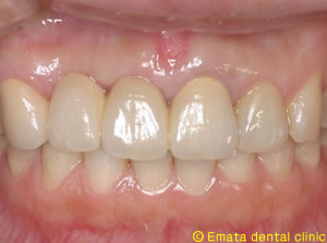
After

| 主訴 | 歯の色が気になる |
|---|---|
| 治療期間・回数 | 約2~3ヶ月・6回 |
| 費用 | 280,000円 |
| デメリット・注意点 | 詰め物・被せ物の調整が難しく、割れた場合は再治療が必要。 |
よりきれいで長持ちをするクラウンをつくるために
歯周形成外科 ジルコニアオールセラミッククラウン
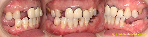
Before

After

| 主訴 | 過去に治療した前歯が気になる |
|---|---|
| 治療期間・回数 | 約3ヶ月・6回(矯正治療の期間を除く) |
| 費用 | 660,000円 |
| デメリット・注意点 | 詰め物・被せ物の調整が難しく、割れた場合は再治療が必要。 |
自信を持てる笑顔を取り戻すために
ジルコニア 歯周矯正 再生療法
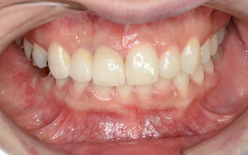
Before

After

| 主訴 | 歯がぐらぐらする。歯周病を治したい。人前で笑いたい |
|---|---|
| 治療期間・回数 | 約3年・約20回 |
| 費用 | 1,400,000円(歯周矯正治療も含む) |
| デメリット・注意点 | 詰め物・被せ物の調整が難しく、割れた場合は再治療が必要。 |
奥歯を綺麗に治療したい
銀色の詰め物を白くしたい
強度が高く、天然歯のような白さと美しさを持ち合わせているジルコニアをお勧めします。

ジルコニアセラミック
金属を全く使用しない素材です。ジルコニアはセラミックの中でも最も固い材質です。汚れ(プラーク)が付きにくく、 金属を使用しないので、金属の溶け出しによる歯や歯ぐきの変色、金属アレルギーなどが起こる可能性がありません。
- 治療期間
- 約1ヶ月
- 治療回数
- 約3回
メリット
- 白く自然な透明感があり、装着している際の違和感がありません
- 金属アレルギーの心配がありません
- 長期使用した場合でも変色に強い素材です
- 高い耐久性を持っており、汚れが付きにくい素材です
デメリット
- 保険対象外となり治療費が高額になる可能性があります
- 調整が難しく、割れた場合は再治療が必要です

モノシリックジルコニアセラミッククラウン
ジルコニア単体からできている補綴素材です。他の素材を使用していないため欠けや剥がれが起こりにくく、歯肉との調和が良好です。また、従来よりも自然な色味や透明感を持つものも登場しており、耐久性と審美性を兼ね備えています。
- 治療期間
- 1ヶ月
- 治療回数
- 約4回
メリット
- 奥歯など、強度が求められる歯に適しています
- 汚れが付きにくい素材です
- 金属を使っていないため、金属アレルギーのある方にも安心です
- 長期間使ってもすり減りにくく、かみ合わせの維持がしやすいです
デメリット
- 保険対象外となり治療費が高額になる可能性があります
- ガラス系セラミック(e-maxなど)よりも人工的な仕上がりになる場合があります
治療例の紹介
保険と自費治療(ジルコニア)の詰め物・被せ物の違い
| 保険の詰め物・被せ物 | 自費の詰め物・被せ物 | |
|---|---|---|
| 精度・適合性 | × | 〇 |
| 素材 | × | 〇 |
| 審美性 | × | 〇 |
| 費用 | 〇 | △ |
精度・適合性の違い
【保険の詰め物・被せ物】保険診療の制約上、適合性が自費治療に比べて劣ることがあります。歯と被せ物の間にわずかな隙間ができやすく、その隙間に汚れや菌がたまり、むし歯や歯周病の原因になる可能性が増します。価格は保険適用により抑えられますが、寿命が短いです。
【自費治療の被せ物】より高い精度で作られることが多く、歯にぴったりと適合するため、隙間が少なく、むし歯や歯周病のリスクも低減されます。初期費用は高いものの、長期的には費用対効果が良いと考えられます。
素材の違い
【保険の白い詰め物・被せ物】一般的にレジン(樹脂)が使用されています。プラスチックなので経年的に劣化し変色します。
【自費治療の被せ物】高品質で自然な色合いの素材が使用されます。強度も高く、経年劣化が少ないため、長期的に美しい状態を保ちやすいです。
歯の型取り
審美歯科治療では、補綴物のフィット感と自然な仕上がりが非常に重要です。当院の自費診療では、シリコンゴム系の高精度印象材を用い、わずかな凹凸まで再現可能なレベルで歯の型取りを行います。これにより、クラウンやインレーが歯とぴったり適合し、見た目も自然で美しく仕上がります。一方、保険診療ではアルジネートという比較的安価な材料を使用するため、素材や精度に限界があることをご理解ください。
-

シリコン印象
-

アルジネート印象

卓越した技工士によるクラウン製作
審美歯科において、クラウン(被せ物)の美しさと機能性は、技工士の技術力に大きく左右されます。
当院では、提携する経験豊富な歯科技工士が、精密咬合器とマイクロスコープ(顕微鏡)を駆使し、一人ひとりのかみ合わせにぴったりと合ったクラウンを製作しています。1本のクラウンを仕上げるのに、約8時間以上をかけて丁寧に形態や色調を整えることで、まるで天然歯のような美しさと調和を実現します。これは自費診療だからこそ可能な品質であり、保険診療での製作(肉眼・約1時間)とは大きく異なります。
Point

口腔内スキャナーの使用
当院では自費診療の際、「3Shape TRIOS」という高品質な口腔内スキャナーを導入し、患者さんのお口の中を直接スキャンするだけで、高精度なデジタル印象を作成することが可能になりました。このデジタル技術により、従来よりも快適かつスピーディに型取りが可能になり、かみ合わせのズレや歪みをデジタル上で調整できるなど、審美歯科治療の完成度をさらに高めることができます。
歯の変色や歯並びを改善したい

ラミネートベニヤセラミッククラウン
ラミネートベニヤは、歯の表面をごく薄く一層だけ削り、その上にシェル(貝殻)のように薄く繊細なセラミックを貼り付ける審美治療です。歯を大きく削ることなく、美しい色味や形を実現できるため、自然で違和感のないお口もとを目指す方に人気があります。笑顔の印象をソフトに整えることで、自信にもつながる治療法です。
- 治療期間
- 1ヶ月
- 治療回数
- 約4回
メリット
- 短い治療期間で済みます
- ホワイトニングで白くできなかった歯でも白く自然な仕上がりになります
- 治療時に前歯の隙間を整えることが可能です
- 歯を削る量が少ないため、治療後のむし歯になる可能性も低くなりますし、処置の痛みもほとんどありません
デメリット
- 保険対象外となり治療費が高額になる可能性があります
- 破折した歯や、歯並びによっては接着できない可能性があります
- かみ合わせが合わない、歯ぎしりなどがひどい場合、割れてしまうことがあります
- 歯にエナメル質の残っていない状態だとはがれてしまうことがあります
治療例の紹介
歯の黒ずみが気になる

ウォーキングブリーチ
神経を失った歯(失活歯)が、時間経過で黒ずんでくることがあります。ウォーキングブリーチは、歯の内部に漂白薬剤を作用させ、内側からその変色を改善する治療法です。歯の裏側から薬剤を入れるため、歯を大きく削る必要はありません。
- 治療期間
- 約1ヶ月
- 治療回数
- 約3回
メリット
- 白く自然な透明感があり、装着している際の違和感がありません
- 金属アレルギーの心配がありません
- 長期使用した場合でも変色に強い素材です
- 高い耐久性を持っており、汚れが付きにくい素材です
デメリット
- 保険対象外となり治療費が高額になる可能性があります
- 調整が難しく、割れた場合は再治療が必要です
治療例の紹介
審美歯科の治療費
-
セラミックインレー(ジルコニアベース) 85,000円
-
ジルコニアオールセラミッククラウン 140,000円
-
ジルコニアセラミッククラウン 120,000円
-
ラミネートベニヤクラウン(ジルコニアベース) 140,000円
-
ウォーキングブリーチ 50,000~80,000円
白さを継続するために

美しい白い歯を手に入れたあとは、その美しさを長く保つことが大切です。
日々の歯磨きや定期的なクリーニングはもちろん、患者さん一人ひとりに合わせたメインテナンス方法をご提案いたします。また、ライフスタイルに応じた食習慣やホームケアのアドバイスも行っておりますので、初めての方も安心してご相談ください。