Implant
専門医によるインプラント治療

2つの分野の専門知識を
活用したインプラント治療
歯を失った部分に人工の歯根を埋め込み、その上に精密に作製した人工歯を装着する治療法がインプラントです。
1本の欠損から複数歯の欠損まで対応できます。また顎の骨としっかり結合することから、ご自身の歯と同じような感覚で食事を楽しめるのもメリットです。セラミックやジルコニアで作られた人工歯は、色調や形態を周囲の歯に合わせて調整するため、どれが人工歯か分からないほど自然な仕上がりとなります。
専門医による当院のインプラント治療
01院長がインプラント以外の治療も最後まで対応

インプラント手術だけを専門医が行い、その前後の治療は他の歯科医師に任せる医院も少なくありません。
しかし当院ではインプラント以外の歯周病治療、虫歯治療、根管治療、補綴治療など、院長がすべての治療をおこなうことで、治療の質を高めていきます。
患者さんのお口の状態を最初から最後まで把握している歯科医師が治療を行うことで、歯の微妙な位置関係やかみ合わせの癖、顎の動きなどを熟知するため、より精密な治療計画を立てられます。
また、治療の各段階で情報の伝達ミスが起こる心配がなく、必要最小限の処置で最大の効果を得ることが可能です。
02「インプラント専門医」と「歯周病専門医・指導医」のダブルライセンスを保持

院長は「日本口腔インプラント学会 口腔インプラント専門医」と「日本歯周病学会 歯周病専門医・指導医」の2資格を保有しています。
歯周病の知識を備えることで、インプラント周囲炎というインプラント特有の歯周病様疾患を予防し、人工歯根を支える骨・歯肉を正しく評価して長期的な治療成果を実現します。
Point
「インプラント学会専門医」とは
会員数16,000名を超える日本最大規模の学会において、専門医として認定されているのは約1,300名と言われています。
専門医資格の取得には厳格な条件が設けられているのが特徴です。なおかつ有効期限は5年間と決まっています。更新のためには、研究発表、研修参加、一定の症例報告など、継続した努力が求められます。
03その技術や経験をインプラント治療に活用しています
インプラントは、失った歯のどこの部分にもできますが、治療が難しいとされている部位があります。現在通っている医院でインプラントはできないと断られてしまった方は、インプラント治療の医院選びにお困りの方は、「インプラント専門医・指導医」の資格を持つ医師が在籍する当院までお越しください。
-
Case.01
インプラント治療後が
痛みや炎症が心配・・・ -
Case.02
骨が薄いとインプラントを
断られてしまった・・・ -
Case.03
歯がまったくないが
インプラントを受けたい・・・
骨が薄く断られてしまった方へ
インプラントには顎骨の厚みが必要です。長年入れ歯やブリッジを使っていると骨が痩せ、治療を断られることもあります。
当院では「骨造成手術」で顎骨を補い、骨不足の方でもインプラント治療を受けられるようにしています。
04歯科用CTの院内常設

インプラント治療にはCT診断が不可欠です。骨の厚さ・形、神経・血管の位置を正確に把握し、適切な長さ・直径を選ぶことが成功の要です。
当院には歯科CTプランメカ社「プロマックス3DS」を院内にご用意。他院への移動は不要、撮影後3分で口腔内状態のCT診断を確認できます。
05できる限り痛みの少ないインプラント治療

手術や痛みが不安な方には、麻酔の専門医による静脈沈静法を提供します。脈内鎮静では点滴で薬を投与し、手術時の不安・痛みを軽減します。痛み止めや腫れ止めも同時に投薬でき、手術は安全かつスムーズに進みます。意識は保たれつつリラックスした状態になるため、緊張を大幅に軽減して受けられます。
当院のインプラントの代表症例
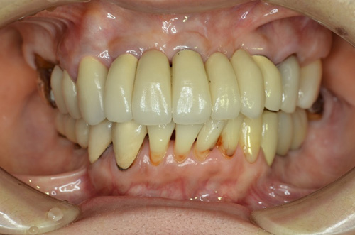
奥歯のインプラントでしっかり噛める日常を
奥歯2本のインプラント 骨造成含む
Before

After

| 主訴 | 奥歯がないのでしっかり噛むことができない |
|---|---|
| 治療期間・回数 | 約4ヶ月・約4回 |
| 費用 | 880,000円 |
| デメリット・注意点 | 外科手術が必要になるため、患者様に体力的な負担がかかる。 |
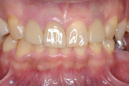
前歯のインプラントで機能と審美を回復
前歯1本のインプラント 歯肉移植と骨造成含む
Before

After

| 主訴 | 前歯がなくなってしまった |
|---|---|
| 治療期間・回数 | 約4ヶ月・約5回 |
| 費用 | 520,000円 |
| デメリット・注意点 | 外科手術が必要になるため、患者様に体力的な負担がかかる。 |
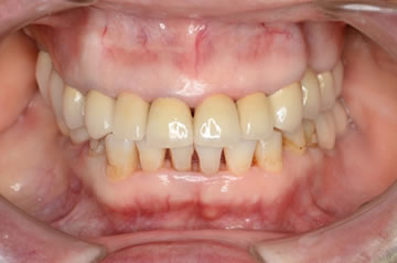
失った歯を手に入れ健康な日常を取り戻す
フルマウスインプラント
Before

After

| 主訴 | なくなった歯を取り戻して、自分の口でしっかり噛める日常を取り戻したい |
|---|---|
| 治療期間・回数 | 約6ヶ月・約6回 |
| 費用 | 3,100,000円 |
| デメリット・注意点 | 外科手術が必要になるため、患者様に体力的な負担がかかる。 |
インプラント治療の治療費
-
精密検査(画像診断・咬合診断・ステント作成) 35,000円
-
インプラント外科手術 220,000円
-
インプラント(アバットメント 被せもの) 200,000円~240,000円
-
骨造成 50,000円~300,000円
※目安の費用です。実際の治療費用は、お口の状態(骨の量・歯ぐきの状態など)や使用する素材、治療計画により異なります。正確な費用は、精密検査・カウンセリングの後にご案内いたします。
※仮歯は別途費用が発生します。
インプラント難症例の治療

日本口腔インプラント学会専門医として、通常では困難とされる症例にも対応してきました。「歯周病が進行している」「インプラントを埋め込む骨量が足りない」などさまざまな理由でインプラント治療を断念せざるを得なかった方々に、高度な技術で新たな可能性を提供します。
前歯のインプラント治療
~抜歯即時フラップレス(無切開)インプラント~
前歯のインプラントは骨が薄く難易度が高い部位です。通常は抜歯後に数か月待ってからインプラントを入れるケースが多いですが、前歯の場合は待つと歯を支える骨と歯肉が吸収され、インプラントが難しくなるだけでなく審美性も回復しにくくなります。
治療例の紹介
歯がなくても1日で噛めるようになるインプラント治療
~オールオン4・オールオン6~

新しいインプラント治療では、歯を全て失っている方も、4本(場合により6本)のインプラントで12本分の咬合を支える植立が可能です。治療期間を短縮し、手術後すぐに固定式の歯が入り、入れ歯から解放される点が魅力です。
一方、上顎など骨質が柔らかい部位では、安定性を高めるため本数を増やす(6本程度)ことがあります。また、仮歯をすぐにはめず治療期間を長く取る選択肢もあり、部位の骨質に合わせた治療計画を提案します。
- 治療期間
- 約6ヶ月
- 治療回数
- 約10回
メリット
- 手術当日に仮歯を装着するため、その日のうちに審美性と基本的な咀嚼機能が回復します
- 4本または6本のインプラントで全ての歯を支えるため、従来法に比べ費用を抑えることが可能です
デメリット
- 保険対象外となり治療費が高額になる可能性があります
- 残っている歯は抜歯が必要になることがあります
- 残高度な技術を要するため、対応できる医療機関は限られます
- 残骨量が著しく不足している場合、骨造成などの追加手術が必要になることがあります
治療例の紹介
骨造成
サイナスリフト
~骨が少なくてインプラントは無理といわれた患者さんへ~

左右の上顎の、臼歯の位置の上には上顎洞(サイナス)と呼ばれる空洞が存在しています。インプラントを埋入する際、骨の厚みが十分あれば問題ありませんが、これが不足するとインプラントが骨を突き抜けて上顎洞に達してしまいます。
この問題を解決するために、上顎洞の底にある上顎洞粘膜(シュナイダー粘膜)を押し上げてそのスペースに骨を形成する処置が行われます。
- 治療期間
- 6ヶ月~1年
- 治療回数
- 手術1~2回
メリット
- 上顎の骨が薄い症例でも、インプラントに必要な骨の高さを十分に確保できます
- 広範囲に骨を造成できるため、多数歯の欠損にも対応可能です
- 手術野を直視下で処置するため、安全性が高く確実な骨造成が期待できます
デメリット
- 保険対象外となり治療費が高額になる可能性があります
- 外科的侵襲が比較的大きいため、術後の腫れや痛みが数日間続くことがあります
- 造成した骨が安定するまで、6ヶ月から1年程度の治癒期間を要します
治療例の紹介
ソケットリフト
~骨が少なくてインプラントは無理といわれた患者さんへ~
インプラントを埋入する部分(歯槽頂)から骨を造成します。骨の高さが少ない場合行います。
- 治療期間
- 約6ヶ月
- 治療回数
- 手術1~2回
メリット
- インプラント埋入と同時に骨造成を行うため、治療期間を短縮できる場合があります
- サイナスリフトに比べて外科的侵襲が少なく、術後の不快感が軽減されます
- 骨の厚みが4mm以上確保されていれば、多くの症例で適用が可能です
デメリット
- 保険対象外となり治療費が高額になる可能性があります
- 骨の厚みが極端に薄い症例は、適応外となることがあります
- 術後に一時的な腫れや痛みが生じることがあります
治療例の紹介
GBR
~骨が少なくてインプラントは無理といわれた患者さんへ~

GBRとはGuided Bone Regenerationの略で『骨を誘導し再生させる』という意味です。
インプラント治療を行う際に骨量が不足した際に用いる骨増大法です。
この骨造成法は歯周病治療の分野ではGTR法(再生療法)として以前から利用されていた方法です。この手法を、インプラント治療へと応用した治療法になります。
- 治療期間
- 6ヶ月~1年
- 治療回数
- 約6回
メリット
- 失われた骨を再生させることで、理想的な位置へのインプラント埋入を可能にします
- インプラントの土台となる骨が強化され、長期的な安定性が格段に向上します
- 歯肉のボリュームも回復するため、審美的に優れた結果に繋がります
デメリット
- 保険対象外となり治療費が高額になる可能性があります
- 症例によっては手術が必要な場合があります
- 症骨が再生し成熟するまでの期間が必要なため、治療期間が長くなる可能性があります
- 症術後、腫れや痛み、軽度の出血などが見られる可能性があります
治療例の紹介
スプリットクレスト法
~骨が少なくてインプラントは無理といわれた患者さんへ

インプラント手術において一番頻繁に問題となることはインプラントを埋入するのに十分な骨量がないことです。とくに前歯は骨の高さには問題ないですが、幅が不足してることがおおいです。このようなとき骨の頂上部にクサビのような形の特殊な器具を挿入しながら、少しずつ骨幅を広げインプラントの埋入が可能な状態にします。
- 治療期間
- 約6ヶ月
- 治療回数
- 約8回
メリット
- 骨を削る量を最小限に抑えるため、患者さんの身体的な負担を軽減できます
- 骨の幅が3mm程度の症例でも、骨を分割・拡張してインプラントの埋入を可能にします
- 従来法では対応が難しかった、薄い骨の症例にも適用できる可能性があります
デメリット
- 保険対象外となり治療費が高額になる可能性があります
- 骨質が硬い下顎や、隣接歯がある部位など、適用が難しい場合があります
- 骨を正確に分割・制御するには、術者の高度な技術が不可欠です
- 稀に術後の骨吸収が起こる可能性があります
治療例の紹介
専門知識を持った歯科衛生士によるメインテナンス

インプラント治療の成功は、手術が上手に進んだだけでは決まりません。治療後の適切なメインテナンスこそが、インプラントを10年、20年と長く機能させる鍵となります。
当院では専門的な研修を受けた歯科衛生士が、定期的なメインテナンスを担当しているのが強みです。天然歯とは異なるインプラント特有のケア方法を熟知したプロフェッショナルが、ご自宅でのセルフケア指導から、医院での専門的なクリーニングまで、総合的なメインテナンスプログラムをご提供します。
インプラント治療の基本情報
インプラント治療とは

失った歯の機能を取り戻す治療法として、インプラントの需要は増加中です。顎の骨に人工歯根(インプラント体)を埋め込み、その上に精密に作製した人工歯を装着することで、まるで自分の歯のような見た目と噛み心地を実現します。
入れ歯やブリッジとは異なり、周囲の健康な歯に負担をかけることなく、失った歯だけを補うことができる点が大きな特徴です。
- 治療期間
- 約6ヶ月~約1年
- 治療回数
- 約8回
メリット
- 人工歯根によりしっかりと噛めるようになります
- 周囲の歯を削る必要がほとんどない
- 骨に人工歯根を埋入するため咬み合わせが安定します
- 噛む力の衰えを防ぎます
デメリット
- 保険対象外となり治療費が高額になる可能性があります
- 外科手術が必要になるため、患者さんに体力的な負担がかかります
- 術後に痛み・腫れ・出血・合併症を伴う可能性があります
- 術後も定期的なメインテナンスをしないと、機能が落ちやすくなります
こんな方にインプラントをおすすめしています
- 天然歯と変わらない、自然な見た目を求める方
- 入れ歯が合わず、痛みや違和感に悩んでいる方
- 食事を楽しみ、ご自身の歯のようにしっかり噛みたい方
- 周りの健康な歯を削らずに治療したい方
- 顎の骨の量や質が、インプラント治療の基準を満たしている方
- 持病(糖尿病、高血圧など)の状態が良好に安定している方
- 禁煙している、または治療のために禁煙できる方
- インプラントを大切にし、日々の口腔ケアを実践できる方
歯を失い咬めないままでいるリスク
- 隣の歯や反対側の歯への影響
- 欠損した歯の周囲にある隣の歯が空いたスペースに傾いて動く可能性があります。これにより歯並びが乱れ、咬み合わせに悪影響を与えることがあります。
また、反対側の歯(対合歯)が伸びてきて、咬み合わせが悪くなる「挺出」のリスクもあります。 - 咬む力の分散が不均等に
- 歯が一本欠けるだけでも、咬む力が他の歯に偏るため、負担が増える歯が出てきます。その結果、歯の寿命が短くなったり、咬むときに痛みを感じることがあります。
- 全身への影響
- 咬み合わせが乱れることで、肩こりや頭痛、顎関節症など、全身に影響を及ぼすことがあります。また、食事の際に咬む力が弱まり、消化にも影響を与える可能性があります。
- 審美的な問題
- 特に奥歯であれば目立ちにくいですが、失った歯の影響で顔の輪郭が変わったり、他の歯の位置が変わることで見た目に影響が出ることがあります。
徹底的なインプラント周囲炎のケア
インプラント周囲炎にならないために
近年、多くの歯科医院がインプラント治療を行うようになりました。その反面、インプラント治療のトラブルも年々増加傾向にあります。この最大の原因になっているのが、インプラント周囲炎です。
インプラント周囲炎とは「インプラントの歯周病」のことです。インプラントはむし歯にはなりませんが天然歯より歯周病になりやすく、重度に骨がなくなってしまうのです。
Point

完全な治療法が確立されていない?
学会情報、論文ではインプラント周囲炎の進行をある程度抑えることはできますが、完全な治療法は現在のところ、世界的にも確立してません。一番大切なことは、インプラント周囲炎を起こさせないということです。よってインプラント治療を行う際は、専門的な歯周病への配慮、または歯周病治療の知識、技術が必要になります。
治療例の紹介
歯周基本治療の徹底

インプラント周囲炎を防ぐため、まず歯周基本治療を徹底します。治療後、PCR値(磨き残し)を20%以下、BOP(お口からの出血率)を9%以下に整えた状態で初めてインプラント治療を開始します。数値未達の場合は治療を行いません。つまり、インプラントは歯周治療の流れの中に組み込まれています。
歯周外科処置との併用

インプラント周囲炎を防ぐには徹底的なプラークコントロールが重要ですが、埋入位置や被せ物の形態、歯肉の形状などが不適切だと歯磨きが難しく炎症が起こりやすくなります。特に角化歯肉(コラーゲン繊維に富んだ固く動かない歯肉)が不足していると清掃性が低下します。そのため、インプラント部位への歯肉移植などの歯周外科手術を併用して、適切な清掃性を確保することが多く、インプラント手術には専門的な歯周外科が必要となることが多いです。
インプラント周囲の歯肉の移植には以下の手術方法があります。
当院で行う歯肉移植術
- 遊離歯肉移植術(FGG)
- 上顎から歯肉を切り取り、歯根やインプラントの周りに移植することにより、角化歯肉を得る方法です。
- 結合組織移植術(CTG)
- インプラントが埋め入れられている部位の歯肉に厚みがない場合、上顎から結合組織のみを切り取り、歯肉が痩せてしまっている部分に移植します。
治療例の紹介
インプラント周囲炎に対しての処置
インプラント周囲炎の進行をある程度抑える治療法はできますが、完全な治療法は現在のところ、世界的にも確立してません。最新の学会情報、論文では以下インプラント周囲炎の治療です。
- Solution.01プロフェッショナルケア
- メインテナンス時はPMTC(専門的清掃)ばかりに時間をかけず、診査に時間をかけ適切な診査(インプラント周囲の歯肉の状態 プロービング レントゲン診査)をおこない早くインプラント粘膜炎周囲炎(骨の吸収がおこっていない)の状態を発見する。
- Solution.02外科処置へ移行
- 骨の吸収がわっかたら(インプラント周囲炎)早めに外科処置に移行する。詳しくはこちらの症例ページをご確認ください。
- Solution.03インプラントの撤去
- 骨との結合が5㎜をきったら患者さんとよく話して撤去を考える。5ミリ以下になると再埋入は困難になる。詳しくはこちらの症例ページをご確認ください。