Periodontics
専門医・指導医による歯周病治療

特殊な症例にも対応する
専門医・指導医による歯周病治療
専門医・指導医による歯周病治療
歯周病は、歯を支える歯肉や歯槽骨が細菌感染により破壊される疾患です。プラーク中の歯周病菌が原因で発症し、進行すると歯を失う原因にもなります。実際、歯を失う原因の第一位が歯周病だと言われています。初期段階では自覚症状に乏しいため、定期的な歯科検診により早期発見・早期治療を心がけることが大切です。
当院では学会認定の歯周病の専門医・指導医による歯周病治療を提供しています。
当院の歯周病治療について
01歯周病専門医は歯肉や骨を再建させる治療に精通
02軽度の歯周病から保険適用外の症例まで対応

歯周病治療の真の目的は、単に症状を改善することではありません。プラークがつきにくく、患者さんご自身でケアしやすい口腔環境を作り上げ、その状態を長期間維持することが最終的なゴールです。
そのため当院では通常の歯周検査に加え、糖尿病検査、BMI測定、血圧測定など全身の健康状態も含めた総合的な診査を実施しているのが特徴です。内科などの医療機関と連携し、お口と身体の両面から健康をサポートする体制を整えています。
※いずれの治療も検査は保険の範囲内で行います。
03難症例・特殊な歯周病の症状にも対応しています
当院では、通常の歯周病治療では改善が困難な症例にも対応可能です。特に、若年層で急速に進行する侵襲性歯周炎(旧称:若年性歯周炎)は、早期の専門的介入が不可欠な疾患です。豊富な臨床経験と知見に基づき、患者さんの年齢や生活背景も考慮した治療計画を立案します。
歯周病は自覚症状が少ないまま進行することが多いため、「歯肉から時々血が出る」「口臭が気になる」といった小さなサインを見逃さないことが大切です。
-
01
若年者に発症する歯周病や
進行の早い歯周病だった -
02
発熱や倦怠感を伴う
特殊な歯周病に罹ってしまった -
03
根が分岐している奥歯に
生じた歯周病と診断された
04セルフケアの指導から保険外の検査・治療提案が可能
当院の歯周病治療の代表症例
エムドゲインと骨造成による歯周再建
エムドゲインによる歯周再生治療 骨造成併用
Before


After


| 主訴 | 歯肉が腫れてグラグラする |
|---|---|
| 治療期間・回数 | 約2~3ヶ月・6回 |
| 費用 | 150,000円 |
| デメリット・注意点 | 術後に腫れる可能性がある。 |
失われた歯周組織をエムドゲインで再生へ導く
歯周形成外科 結合組織移植
エムドゲインによる歯周組織再生療法
Before

After

| 主訴 | 下の歯の歯肉が下がっていている |
|---|---|
| 治療期間 | 約1ヶ月 |
| 費用 | 120,000円 |
| デメリット・注意点 | 術後に腫れる可能性がある。 |
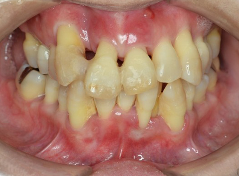
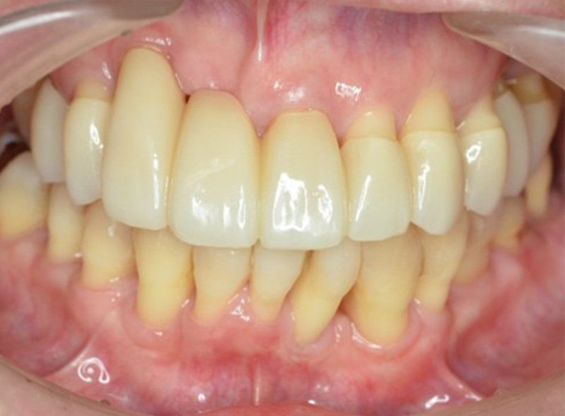
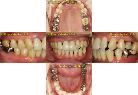
歯周再生・歯列補正・審美補綴まで一口腔単位で整えた包括治療
歯周再生療法 歯周矯正治療 ジルコニアセラミック治療
Before

After

| 主訴 | 歯がぐらぐらする。歯周病を治したい。 |
|---|---|
| 治療期間・回数 | 約2年・約15回 |
| 費用 | 2,300,000円 |
| デメリット・注意点 | 詰め物・被せ物の調整が難しく、割れた場合は再治療が必要。 |
自由診療の歯周病の治療費
-
結合組織移植 120,000円
-
歯周組織再生療法 150,000円
※目安の費用です。正確な費用は、検査・カウンセリングの後にご案内いたします
日本歯周病学会認定資格について
日本歯周病学会認定歯周病専門医とは

「歯周病専門医」は、国民への新たな専門的な歯科医療制度として、特定非営利活動法人日本歯周病学会が、臨床経験、歯周病に対する知識に対して試験を行い、歯周治療を専門的に取り扱うに充分な技量と倫理観を有する歯科医師を認定するものであります。
歯周病の治療を希望される場合は一つの判断基準になるかと思います。
歯周病の進行度と治療法
-
01

軽度の歯周病
歯肉炎は、歯周病の初期段階です。プラーク中の細菌の影響で、歯肉が赤く腫れた状態になります。この段階では、痛みなどの自覚症状はほとんどありません。しかし、歯肉炎を放置すると、歯周炎へと進行するリスクがあります。歯肉炎の治療には、プロフェッショナルクリーニングと、適切なセルフケアが必要です。
治療例の紹介
-
02
初期歯周炎
軽度の歯周炎では、歯肉の炎症がやや進行し、歯磨き時の出血が見られるようになります。また、歯と歯肉の間に歯周ポケットが形成され、プラークや歯石が蓄積しやすくなります。治療には、歯科医院でのスケーリング(歯石除去)と、ルートプレーニング(歯根の滑沢化)が必要です。
治療法
軽度歯周病の治療は、患者さんによる歯磨きと、歯科医院における歯石除去がメインとなります。
-
03
中等度歯周炎
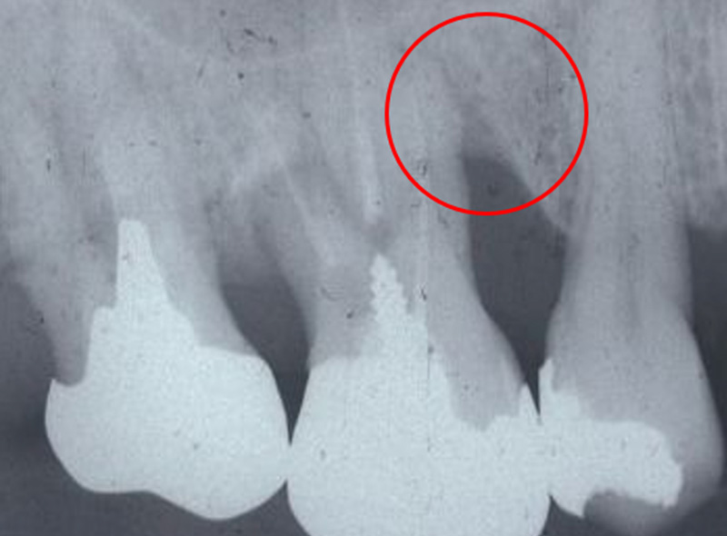
症状はレントゲン検査により歯を支えている骨の吸収(無くなる)が認められます。症状はむし歯のような痛みを感じることはなく、歯肉自体がむずがゆい感じがしたり、臭いがしたりすることもあります。
治療法 ~衛生士によるメインテナンスが大切です~
中等度以上の歯周病になると、歯磨きや表層の歯石除去だけでは不十分で、 SRP(歯肉縁下スケーリング・ルートプレーニング)が必須となります。SRPは目に見えない部位を清掃する技術であり、歯周病治療の中で最も難しいスキルのひとつとされています。熟練の歯科衛生士が高い精度で根面を清掃することが、治療成否を大きく左右します。そのため中等度以上の歯周病は、歯周病専門医や歯周治療に実績のある医院を選ぶことをおすすめします。
治療例の紹介
-
04
重度歯周炎
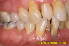
歯を支える骨が極度に失われ、歯が動いていることを実感するようになります。腐敗性の細菌が増加することにより、臭いを伴ったり、膿(うみ)が出ていることを自覚したりします。一般的に歯槽膿漏と呼ばれるのはこの状態を指します。
治療例の紹介
歯周基本治療
歯周病治療の第一歩となるのが歯周基本治療です。病気の原因となる細菌の塊(プラーク)と、それが石のように固まった歯石を徹底的に除去し、歯肉の炎症を改善させます。
この治療は、軽度から重度まですべての歯周病患者さんに必要な基本的アプローチです。歯科医院での専門的なクリーニングと、ご自宅での適切なセルフケアを組み合わせることで、多くの場合、歯肉の状態は大きく改善します。
スケーリング

歯石は歯垢が唾液中のミネラルと結合して石灰化したもので、通常の歯磨きでは取り除くことができません。そこで歯の表面にこびりついた歯石を、専用の器具で丁寧に除去するスケーリングと呼ばれる処置が必要です。超音波スケーラーや手用スケーラーを使い分けながら、歯の表面を傷つけることなく歯石だけを効率的に除去します。
ルートプレーニング

ルートプレーニングは、歯周ポケット内の歯根表面に付着した歯石や、細菌に汚染されたセメント質を除去する処置です。炎症によって粗くなった歯根表面を滑らかに整えて、歯肉が歯根に再び付着しやすい環境を作ります。歯肉の炎症が治まり、深くなった歯周ポケットが浅くなることで、日常のブラッシングでプラークを除去しやすくなります。
ブラッシング指導(TBI)

患者さんの歯並びや磨き方のクセを分析し、効果的にプラークを除去できるブラッシング方法を身につけていただきます。
歯ブラシの選び方、持ち方、動かし方、デンタルフロスや歯間ブラシの使用法などに関して、定期的なアドバイスを行っていきます。
咬合調整(噛み合わせの調整)
歯周病で弱った歯に過度な力がかかると、病状が急速に悪化することがあります。かみ合わせのバランスを整えることで、特定の歯への負担を軽減し、歯周組織の回復を促します。
調整は慎重に少しずつ行い、患者さんが違和感なく噛めるよう配慮していますので、ご安心ください。
歯周外科処置

スケーリング・ルートプレーニング治療をおこなっても6mm以上のポケットが残るといつかは必ず再発することが多いです。なぜなら汚れや歯周病細菌が残っているからです。そのため、麻酔をして、歯肉を一時的にめくり、歯の根を見える状態にして確実に歯周病細菌をとる治療法です。また、骨の形が歯周病菌で変形している場合の整形も同時に行うこともあります。治療中は麻酔を行いますので、痛みがあることはありません。治療後の痛みは簡単な抜歯と同じぐらいです。
歯周再生療法

いままで歯周病の治療は失った骨や歯周組織はもとにもどすことは不可能でしたが、最近の技術の進歩により一部の症例に関しては、歯周病によって失われた歯茎や骨を再生させ歯を長期間機能ることが可能になってきています。
当院では、エムドゲインなどの誘導薬剤を使います。(保険適用外)
- 治療期間
- 約3ヶ月
- 治療回数
- 約2回
メリット
- 従来なら抜歯適応とされた歯も、再生療法により保存できるケースが増えています
- 病気の進行を食い止め、失われた歯を支える組織を部分的に回復させることができます
- 深かった歯周ポケットが浅くなるので、ブラッシングが行き届きやすくなり、再発リスクを低減できます
- 歯の動揺が改善し、しっかりと噛める状態を取り戻すことで、歯の寿命を大幅に延ばす可能性があります
デメリット
- 保険対象外となり治療費が高額になる可能性があります
- 再生できる組織の量には限界があり、完全に元の状態に戻すことは困難です
- 組織の再生には時間がかかるため、治療期間が数ヶ月から1年程度と長期にわたります
- すべての症例に適応できるわけではなく、全身状態や歯周病の進行度によっては実施できない場合があります
治療例の紹介
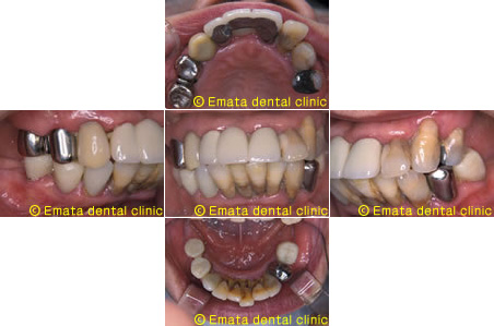
歯周補綴

重度の歯周疾患は、歯周病が治ってきても、歯を支える骨等の組織が少なくなりでグラグラと動くようになります。そうすると物を噛むのにも支障がでますし、グラグラが増して歯周病が進行します。そのために揺れている歯をお互いにつなぐために被せ物をつなげて作りそれを歯にかぶせることで、歯を安定させる方法です。ほとんどのケースでは全顎的なアプローチ(治療)が必要になってきます。
治療例の紹介
抜歯

当院では、まず最初にどうすれば出来るだけ多くの歯を残せるかを考えて治療を始めます。しかし、いかなる方法をとっても残す見込みがない歯に関してだけは、抜歯をお勧めする場合があります。なぜなら無理に歯を残すと周囲の骨がさら吸収し、隣の歯の歯槽骨まで影響を及ぼします。1本の歯も大切ですが、口腔内全体を考えた場合、歯を残すことにこだわっていると何の治療もできず悪化することが多いのです。
治療例の紹介
セルフケア

歯周病から歯を守るために最も重要なのは、毎日の正しいセルフケアです。
どんなに丁寧に磨いているつもりでも、自己流の歯磨きでは磨き残しが生じやすいのは紛れもない事実と言えます。
そのためプロの歯科衛生士から、一人ひとりの歯並びに合った効果的なブラッシング方法を学びましょう。そして、丁寧な歯磨きを習慣化することが、歯周病予防の第一歩となります。
侵襲性歯周炎
(若年者に発症する歯周病や
進行の早い歯周病)治療
~専門医・指導医による歯周病治療1~
侵襲性歯周炎は、通常の歯周病とは異なり、基本的な治療だけでは改善しない重症例です。全体の歯周病のうち約5~10%程度とされ、30代以下の若年で発症が多く、通常の病状より急速に進行します。家族に同様の症状がみられやすく、口腔清掃が徹底され歯石も多くならないことが特徴です。
そのような患者さんにはDNAレベル細菌検査・経口的抗菌薬の服用・フルマウスデスインフェクションが効果的です。
DNAレベル細菌検査・経口的抗菌薬の服用
通常の歯周病の治療のほかに、歯周病細菌に効果がある『抗生剤』をある程度の期間(2~4週間程度)服用していただき抗生剤の効果により、歯周病細菌を少なくします。経口菌療法を行うには、原因菌の特定が必須となりDNAレベルの細菌検査が必要になります。
フルマウスデスインフェクション
通常の歯周病治療で改善しない場合、特定の毒性の強い歯周病菌(侵襲性歯周炎)が関与していることがあります。そのようなときは、まず細菌検査で原因菌を特定し、その菌に効く抗生物質を併用します。さらに、感染拡大を防ぐ目的で、通常は6回に分けて行うところを1回で実施するフルマウスデスインフェクションを行うことがあります。ただし、1回実施は時間が長く(約90分以上)費用もかかるという欠点があります。
治療例の紹介
特殊な歯周病
(急性壊死性潰瘍性歯肉炎・歯周炎)
の治療
~専門医・指導医による歯周病治療2~
急性壊死性潰瘍性歯肉炎は、通常の歯周病とは症状が異なり、歯肉の強い痛みや歯磨き困難、口臭が特徴です。重症になると発熱・頭痛・倦怠感を起こすこともあり、18〜30歳の成人期に発生します。歯肉は壊死して歯間乳頭部が陥没します。原因は口腔衛生の乱れに加え、過度なストレスや過労が関与します。
治療は第一選択として抗菌剤の投与とクロルヘキシジンの洗口薬の使用で、疼痛によりブラッシングが困難な場合が多く、スケーリングやプロービングは避けるのが一般的です。痛みが落ち着いた後に、通常の歯周基本治療を行います。
治療例の紹介
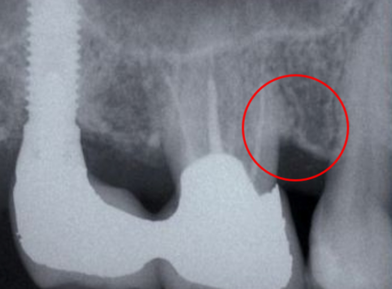
根分岐部病変
(根が分岐している奥歯に生じた歯周病)
の治療
~専門医・指導医による歯周病治療3~
治療の概要
根分岐部病変は、歯根が2本以上ある歯の根分岐部まで進行した歯周病で、歯石除去が難しくブラッシングもしにくい場所のため、症状が出にくく治療が難しいのが特徴です。歯周病を制するには根分岐部病変を制する必要があり、進行した場合は抜歯の選択肢が検討されることも少なくありません。
治療の流れ
-
01
スケーリング・ルートプレーニング
-
02
歯根分割・抜根・エムドゲイン
-
03
歯根分割・抜根・トンネリング・抜歯
さっさと抜いてインプラント、ではなく、根分岐部病変をどう考えてどう生かすかが歯周病専門医の姿勢や力量です。
治療例の紹介
歯周病の危険性
静かに進む歯周病のリスク

歯周病が「静かなる病気」と呼ばれる理由は、初期から中期にかけてほとんど痛みを伴わないためです。時折見られる歯肉からの出血、歯肉の違和感、噛んだ時の軽い痛みなどのわずかなサインを、多くの方が見過ごしてしまいます。
しかし、症状を自覚した時には、すでに歯を支える骨が大きく失われていることも少なくありません。むし歯と並ぶ歯科の2大疾患でありながら、その進行の静かさゆえに、多くの方が歯を失う原因となっているのが現状です。
Point
歯周病と全身疾患の関係性
歯周病は、口腔内の問題にとどまらず、全身の健康にも影響を及ぼす可能性が明らかになってきました。歯周病菌は、血流に乗って全身を巡り、さまざまな臓器に悪影響を及ぼすと言われています。特に、心血管疾患や糖尿病との関連性が指摘されています。
特に以下の病気との結びつきが深いと言われています。
- 糖尿病
- 生活習慣病
- 心疾患
- 脳梗塞
- 早産・低体重児出産
- 腎疾患
- 骨粗鬆症
- リウマチ
歯周病かなと思ったら・・・
こんな症状ありませんか?
- 口臭を指摘された・自分で気になる
- 朝起きたら口の中がネバネバする
- 歯みがき後に、毛先に血がついたり、すすいだ水に血が混じることがある
- 歯肉が赤く腫れてきた
- 歯肉が下がり、歯が長くなった気がする
- 歯肉を押すと血や膿が出る
- 歯と歯の間に物が詰まりやすい
- 歯が浮いたような気がする
- 歯並びが変わった気がする
- 歯が揺れている気がする
日本臨床歯周病学会より引用
-
1~3個の場合
歯周病の可能性があるため、軽度のうちに治療を受けましょう。
-
4~5個の場合
中等度以上に歯周病が進行している可能性があります。早期に歯周病の治療を受けましょう。
-
チェックがない場合
チェックがない場合でも無症状で歯周病が進行することがあるため1年に1回は歯科検診を受けましょう。

