9:00~12:30 / 14:00~17:30
診療案内
〒320-0041 栃木県宇都宮市松原2-7-10
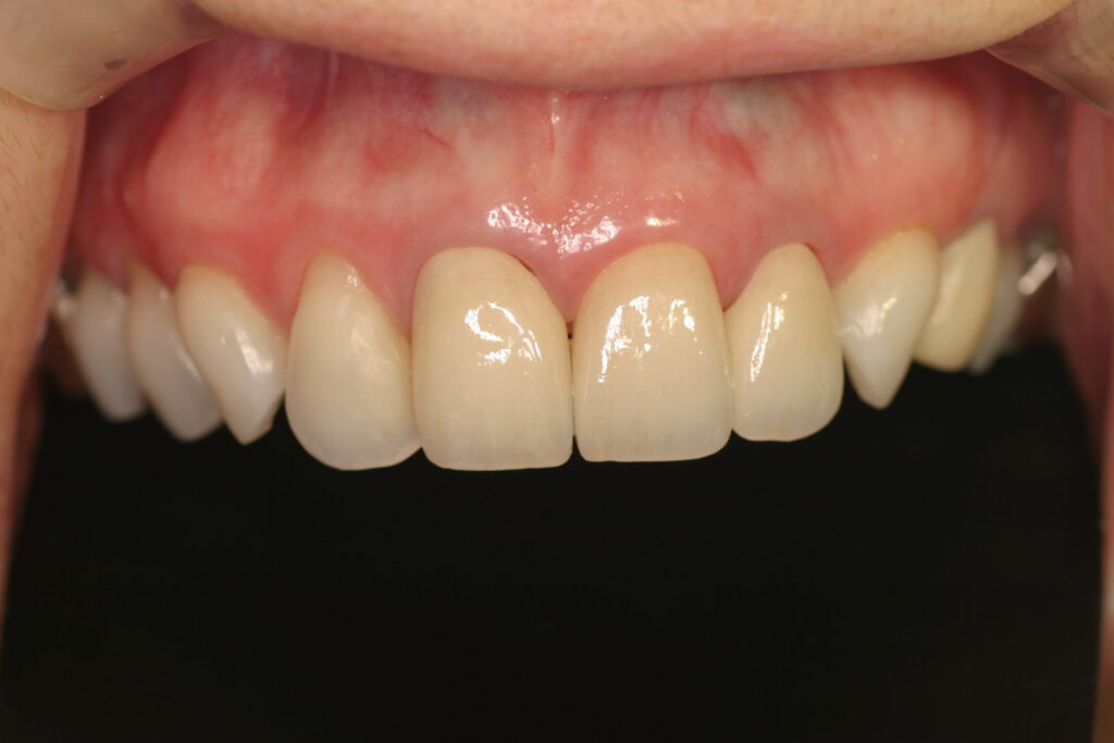
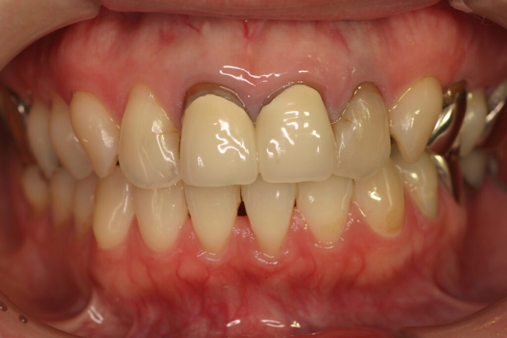
Case
症例紹介
カテゴリー
透明感、自然感が得られもっとも天然歯に近く仕上がります。また金属を一切使わないため、口腔内環境(金属アレルギー)にも安心してご利用いただけるという利点もあり、現時点では最も理想的と考えられている被せ物です。