矯正治療 歯周治療 ジルコニアオールセラミッククラウン
患者さんは47歳女性の方です。10年前に治療した前歯4本が気になり人前で笑うのもいやだとのことです。精密な診査・診断をおこない被せ物をだけを治しても良い結果はでず、矯正治療の必要性をお話しました。最初は患者さんも躊躇しましたが、治療が終わって矯正治療もやって本当によかったとのことです。
しっかりした機能をともなった審美歯科治療には矯正治療は必須です。凸凹している歯並びを被せものだけで治すような治療は「修復イリュージョン」といって、「幻想的な歯科治療」、「長持ちしない歯科治療」ということだと思います。
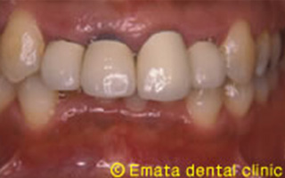
Before


診断用模型(セットアップ)で精密に診査します。


まだ仮歯です。

歯肉のラインが不調和なので簡単な再矯正をおこないました。
After
