精密根管治療例1
40歳 女性
主訴 右上奥歯は咬むと痛い
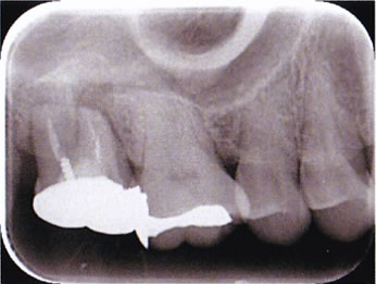
before
根管治療のレントゲン診査は2枚のレントゲン撮影(2方向)が必要です。赤丸に病変があり、根管充填が不完全です。

角度をかえることで、病巣の大きさや、根の彎曲など様々な情報が可能になります。




After
根管内の感染源を完全に除去し、緊密に封鎖しました。
【根管充填】
欧米の根管治療の専門医の多くがおこなっているcontinuous wave condensation technique(通称CWCT)で行いました。根管を3次元的にすき間を極力なくして根充剤(根管治療の最後につめる薬剤)を緊密に圧入していきます。従来の根充法より格段にむずかしいテクニックですが、その分、より確実な根管充填ができます。

