精密根管治療例2
先日根管治療をしても痛みが続いる患者さんが来院しました。半年も根管治療をしていて、根に最終的お薬を詰めても治らないらしいです。上顎第一大臼歯を治療したら近心頬側第二根管(MB2)を見落としていました。その結果痛みが取れなかったのです。上顎第一大臼歯の根は3本だと思われていますが、60パーセント以上の割合で4本の根管の場合があります。4本目の根管をMB2と呼ばれています。
神経を取ったのに痛みや違和感がなくならない時は、第4根管の検索をしないといけません。
初診時のレントゲンです。

治療中
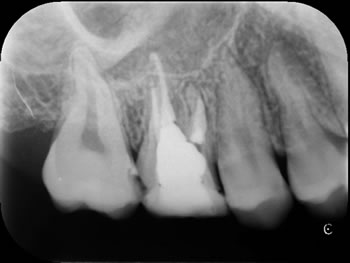
根管充填したところです。薬が4つはいっています。赤丸がMB2です。

治療後のレントゲン
根管治療のレントゲン診査は2枚のレントゲン撮影(2方向)が必要です。
(1)では3根しか写っていません。
(2)根の本数が4本あることがわかります。角度をかえることで、病巣の大きさや、根の彎曲など様々な情報が可能になります。

(1)正方線撮影 真正面からのレントゲン

(2)偏心撮影 角度をつけたレントゲン
根の本数は4本であることがわかります。白い薬が4つ見えますね。