ホームホワイトニングとセラミッククラウンによる治療例
■ホームホワイトニングとは
自宅で漂白を進める治療のことです。
歯科医の指導をうけながら受診者自身が行う漂白法で、自宅に限らず任意の時間と場所で実行できます。
歯科医院で作成した専用トレーにジェルを注入して3~4時間着用します。
■ホームホワイトニングの流れ
まず歯科医が歯と歯肉が健康な状態であるか診察します。過去に入れたつめものを取り換えたり、虫歯の治療が必要な場合もあります。そして型を取ります。
歯科医が作製した患者用
トレーにジェル材を流し込みます。
歯を磨き、トレーを口に入れます。
トレーの端を歯に合わせます。
清潔な指か、
柔らかい歯ブラシで余分なジェル材を取り除きます。
口を2回すすぎます。
注意:すすいだ水は飲み込まないでください。
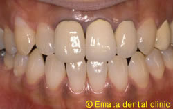
Before
患者さんは歯を白くしたいとうことでしたが被せ物も3本ありました。
After
