9:00~12:30 / 14:00~17:30
診療案内
〒320-0041 栃木県宇都宮市松原2-7-10
Case
症例紹介
カテゴリー
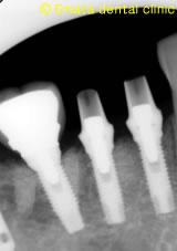
外側骨がないのがわかります。
GBR(骨造成をおこないました)
きれいなセラミッククラウンがはいり、歯肉の状態も安定してます。
レントゲンでもインプラントのまわりの骨も安定しています。