両方の奥歯がない。入れ歯は一度つくって使ったことがあるが・・・ 54歳男性(両奥歯をインプラントにした治療例)
下の奥歯両方なくよく噛めない。取り外しの入れ歯はいやだ。
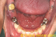
Before
患者さんは左下奥歯がはれて来院されました。残念ですが抜歯の適応です。以前反対側に義歯をいれたことがあるが違和感があり入れ歯にはしたくないとのことでインプラントを両側に4本埋入させていただきました。


After
できるだけ自分の歯のように希望され下の歯はすべてセラミックで治療させていただきました。


Case
症例紹介