歯がまったくなくても1日で噛めるようになるインプラント治療 2
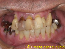
患者様は元々入れ歯をつかったことがありません。上顎6歯が歯周病が進行し残念ですがすべて抜歯です。年齢的(60歳)にも仕事上からも、総入れ歯は絶対いやだということで、All-on-4によりその日で固定式の仮歯を入れる手術をおこないました。
治療前



治療前
All-on-4は4本ではないかとおもいますが、骨の状態や対合歯が自分の歯なのでより確実性をもたせたいため5本で立ち上げ、2本はスリープさせました。
この症例のポイントは、ソケットリフト部位への即時負荷でしょう。アダプテーションテクニックにより40ニュートンの初期固定がえられました(専門的になってしまいましたね)。
麻酔専門医の先生が静脈内鎮静法を行っていますので患者さんは半分寝ているうちに手術が終わってしまいます。

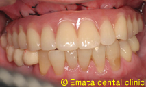
仮歯までいれるのに半日かかりましたが、患者様には大変喜んでいただきました。
治療後


