GBR治療例2
患者さんは4年前に、右奥歯を当院でインプラント治療をしまして、反対側の歯が折れている可能性があるので、治療を勧ましたが患者さんは痛くないのでこのままでいいということで、その後来院せず、去年の12月お痛みがあり救急で来院しました。
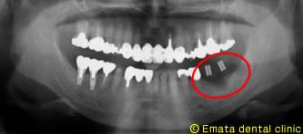
Before
レントゲンをとると歯は割れていてその周りの骨も大きく無くなっていました。患者さんはインプラントが良く噛めるので、反対側もインプラント治療を希望されました。
お痛みがでた歯の周りは黒くなり骨が無いのがおわかりですか。
これだけ、骨欠損が大きいと、グラフトレス(傾斜埋入、ショートインプラント)やスプリットクレストは難しいと思います。ブロック骨か、GBRの骨造成が適応症だと思います。
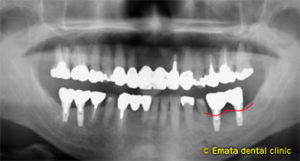
初期固定できる位置に埋入しました。
水平的 垂直的に骨造成するためチタンメシュをつかいました。
After
治療後 インプラントには骨が再生されています。