抜歯即時無切開インプラントの治療例1
Before
初診の写真です。
患者様は右下奥歯が虫歯が進行し保存不可能な為、インプラント治療を希望されました。
外側の骨を壊さず 慎重に抜歯しました。
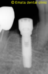
重要なのはインプラントをいれる位置です。抜歯した部位にいれると外側の骨はなくなってしまします。抜歯した部位より内側にはいっているのがわかりますか?
インプラントと抜歯間に少し隙間があきますが、最新の知見ではその隙間に吸収しづらい人工骨を入れることが推奨されています。
初期固定(インプラント治療で一番重要です)がとてもよかったのでキャップをつけて1回法でおこないました。
After
手術時間は抜歯を含め、30分程度です。
緊張されていた患者さんも、完全に拍子抜けしてしまったようです。
翌日の消毒にいらしたときは、腫れ・痛みとも全くないとのことです。
術後のレントゲン