028-643-2525
9:00~12:30 / 14:00~17:30
休診日
木曜・日曜・祝日
お問い合わせ
Tel
Contact
Access
Page Top
Menu
HOME
当院の特徴
診療の流れ
医院紹介
院長紹介
スタッフ紹介
アクセス
衛生管理
行動計画
お知らせ
コラム
症例紹介
お問い合わせ
診療案内
歯周病治療
審美歯科
精密根管治療
自家歯牙移植
予防歯科
インプラント
抜歯をしない治療法
外科的歯内療法
外傷
むし歯治療
〒320-0041 栃木県宇都宮市松原2-7-10
028-643-2525
お問い合わせ
診療時間
月
火
水
木
金
土
日/祝
9:00〜12:30
●
●
●
/
●
●
/
14:00〜17:30
●
●
●
/
●
●
/
最終受付
午前:12:00 午後:17:00
Case
症例紹介
HOME
症例紹介
カテゴリー
歯周病治療
インプラント治療
審美歯科
抜歯をしない治療法
外科的歯内療法
自家歯牙移植
外傷
すべての投稿
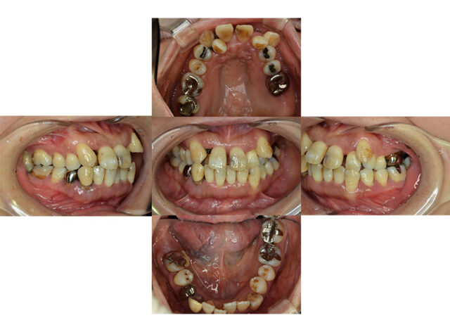
歯周形成外科 結合組織移植 エムドゲインによる歯周組織再生療法
歯周病治療
フルマウス
インプラント治療
奥歯2本のインプラント
インプラント治療
前歯1本のインプラント
インプラント治療
歯周再生療法 精密根管治療 歯周矯正治療 ジルコニアセラミック治療
審美歯科
<
«
4
5
6
7
8
>