重度の歯周炎の治療1(歯周外科の治療例1)
患者様 53歳女性の方です。
ブラッシング時出血するので来院しました。
治療前



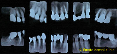
レントゲンでは全体的に歯を支えてる骨がだいぶ喪失しています。重度の歯周炎です。
移動してしまった歯を元移の位置に戻すために矯正治療を行いました。
歯周外科をする前に診断用ワクシングで理想的歯肉の位置を確認します。

全顎的に歯周外科をおこないました。
治療後


治療終了後の写真です。セラミックブリッジにて最終補綴物を制作しました。患者さんは審美的、機能的に大変満足されていました。
治療終了後のレントゲン写真です。歯槽骨の状態は安定しています。