歯がまったくなくても1日で噛めるようになるインプラント治療 All-on-4・6(最近の治療例から)
皆さん、今日は、院長の江俣です。
11月1日からレッドクリフ(ジョン・ウー監督が三国志の赤壁の戦いを描いた超大作映画です。)が公開しますね。
わたしも息子たちも三国志の大フアンです。なんとか時間をとって観に行きたいですね。
本日は、最近のインプラントの治療例を紹介いたします。
現在世界で最もインプラント治療を手がけているポルトガルのP.マロ先生よりAll-on-4(オールオンフォー)と呼ばれるコンセプトが提唱されました。
All-on-4(オールオンフォー)とは従来のインプラント治療に大きな変革をもたらす、画期的で最新の治療方法です。たった4本から6本でインプラントで12本分の歯を支えることを可能で手術が終わったとたんに入れ歯から開放され、固定式の歯がはいります。
しかし技術的にも高度であり、きめられたルール・術式 ・インプラントシステムでおこない最も重要なのはインプラント手術の経験数が多いことが必要でしょう。
では治療例をみてみましょう。
|
![]() |
![]() |
|
![]() |
|
![]() |
![]() |
![]() |
![]() |
|
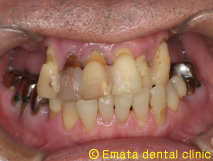
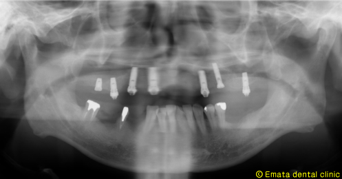
| All-on-4は4本ではないかとおもいますが、骨の状態や対合歯が自分の歯なのでより確実性をもたせたいため5本で立ち上げ、2本はスリープさせました。
この症例のポイントは、ソケットリフト部位への即時負荷でしょう。アダプテーションテクニックにより40ニュートンの初期固定がえられました(専門的になってしまいましたね)。 麻酔専門医の先生が静脈内鎮静法を行っていますので患者さんは半分寝ているうちに手術が終わってしまいます。 |
|
![]() |
![]() |
|
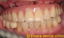
仮歯までいれるのに半日かかりましたが、患者様には大変喜んでいただきました。 |
|








