嗜好品
みなさん こんにちは院長の江俣です。
| 酒、茶、コーヒー、タバコなど嗜好品は、身体の栄養にはならないようですが心の栄養として大切ですね。 私は喫煙はしませんが、大のコーヒー好きです。とくにガブガブ飲める薄いコーヒーが好きで、外で飲むときも味の濃いシアトル系より、ミスタドーナッツやマクドナルドの薄いコーヒーが好きです。スターバックスではいつもアメリカーノのエスプレッソを半分にしてもらってます。 とくに朝の目覚めと仕事のあとの薄い、酸味の効いたコーヒーはとくに美味しいです。 |
お気に入りの豆はライオンのコナ100%です。 |
では歯科の話に戻りましょう。
昨日は上顎(上あご)左右2本ずつ4本インプラントを埋入しました。
患者さんはできるだけ早くインプラントの手術を終わらせたいとの(期間と回数)希望でした。
手術時間は約1時間ですが、静脈内鎮静法を行ったので患者さんはオペ終了までほとんど何も覚えてらっしゃらないのでとても楽でした。3週間前に下顎(下あご)を左右同時に4本埋入したので1ヶ月で上下左右8本のインプラントの手術を終えました。
しかし歯周病の初期治療には2ヶ月かかりました。インプラント治療を成功させるためには歯周病の問題を解決しないといけませんね。
![]() |
術前のレントゲン |
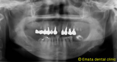
![]() |
術後のレントゲン |
