安全・確実なインプラント治療
みなさん今日は院長の江俣です。
海の日はいかがお過ごしでしたか?わたしはあいかわらず東京でのインプラント・学会の大会でした。
先日患者様から歯肉にメスをいれずインプラント治療(無切開インプラント手術)はできないかとご質問がありました。
無切開インプラント手術とは、抜歯して同時にメスを使って切開せず、インプラントを埋入する低侵襲の手術方法です。インプラントを埋入しようとしている部分に十分な骨と歯肉が存在する場合は良い方法ですが、インプラント治療を希望される方の多くは、骨や歯肉がないことがほとんどです。また患者様のできるだけ早く、痛くない(無切開でなくても痛くないのですが)希望が強いため、インプラントをはじめたばかりの歯科医師がこの手術方法を選択するケースも少なくないと聞きます。これは非常に危険だといわざるを得ません。内視鏡を使った手術でよく事故が起きることでもご理解頂けると思います。CT検査が発達してもインプラントを入れようとする骨の状態を直接目で見て確認するのが重要です。
インプラント治療は骨と歯肉があれば、それほど難しい治療ではありません。(術式においてですよ)。しかし抜歯になった原因は歯周病や歯が割れたりして感染(腫れることを繰り返し)により骨が溶けてしまうことがほとんどなのですから、骨や歯肉を造ることが多いのです。
では最近の治療例を紹介します。
患者様は、右下奥歯2本歯根歯折で抜歯することになってしました。術前の検査(CT検査もふくめて)から、抜歯しと同時に無切開でインプラントを埋入することも考えました。抜歯をして精密に診査をしましたら、骨がないことがわかりました。無切開でいくか、抜歯即時でいくか、とっさの臨床判断が求められます。
このときの臨床判断は安全確実な治療を優先し、同時にインプラント埋入はせず、2ヶ月たって歯肉が治ってからインプラント埋入しました。
骨や歯肉がある症例では抜歯即時無切開手術はとても有効ですが、速さより、安全・確実な治療を優先したいとおもってます。
![]() |
歯が割れてしまい、抜歯になりました。 |
![]() |
抜歯と同時にインプラント埋入、無切開で行く予定で、抜歯の部位とドリルを合わせています。 |
![]() |
||
外側の骨が欠損しているのがわかりました。 |
![]() |
2ヶ月後に手術野をとりインプラントを入れた状態です。 |
![]() |
||
GBR(骨造成をおこないました) |
![]() |
|
![]() |
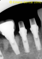
治療後 きれいなセラミッククラウンがはいり、歯肉の状態も安定してます。 |
レントゲンでもインプラントのまわりの骨も安定しています。 |

