メタルコアポスト(金属の土台)とファイバーポストについて
みなさんこんにちは院長の江俣です。
9月になり涼しくなりまたね。インフルエンザの流行の兆しがはっきりとしてきたようです。
インフルエンザをはじめとする感染性の疾患に対して器具の滅菌は万全の体制でお迎えしておりますので、安心して来院ください。(滅菌のお話は後日します。)
では歯科の話をしましょう。
虫歯などで歯が少なくなったとき、そのままではクラウン(被せ物・差し歯)を被せられない場合には、人工の土台(コア)で欠損した部分を補う必要があります。
この歯の土台(コア)を作る治療のことを「支台築造」と言って、とても重要です。
一般的に保険などで使用されている土台には金属(メタルコアポスト)が使用されますが、金属が溶け出して歯や歯肉を変色させたり、金属アレルギーの問題がおこります。そして金属の土台(メタルコアポスト)は硬すぎるため、十分な歯質が残っていない歯では、強い力がかかった時に歯が割れてしまうことが多いのです。この場合残念ですが抜歯になってしまいます。このような歯への負担を軽減しより安全な状態を保つために、当院では必ずセラミッククラウンなどの精密補綴治療には歯に近い物性をもったファイバーポストコアと呼ばれる土台で歯を補強します。ファイバーポストコアとは物性が歯に近似していることと強力な接着材料の使用で、歯が折れることがないように配慮しています。またファイバーポストコアは強度的な問題だけでなく、審美的にも歯と同じ色調なので金属の土台ように歯の色や歯肉が暗くなったりすることがなく、その上に装着するセラミックが透明感のある自然な仕上がりになるといったメリットもあります。

金属の土台(メタルコアポスト)です。 |
![]() |
土台を歯に付け歯を補います。 |
![]() |
||
先端部に大きなひずみ(応力)が生じ、この応力によって歯が折れてしまいました。再治療が不可能となって抜歯です。 |
![]() |
ファイバーコアポスト |
では最近の治療例をご紹介します。
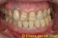
患者様は48歳女性の方で当院のホームページを見て来院されました。
![]() |
前歯2本の詰め物をきれいにしたい。向かって左のセラミククラウンの色形もおかしい、歯肉の変色も気になるので治したいとのことでした。向かって右のメタルセラミッククラウンはそのままにして欲しいとのことです。(残すと色合わせが難しいのですが。) |
![]() |
クラウンを外すと金属の土台が溶け出して歯が変色していました。根をブリーチングしましたがここまで変色してると難しいです。 |
![]() |
||
![]() |
![]() |
前歯2本はコンポジットレジンでほとんど詰めてるため、歯を削る量が非常に少ない、確かに歯を削る事に間違いはないのですが、一般的に差し歯と呼ばれるセラミックと比較すると歯に対するダメージはかなり軽減されるラミネートベニヤで修復しました。問題の向かって左側の歯はファイバーポストを入れオールセラミッククラウンを被せました。 |
![]() |
![]() |
向かって右側の外さなかったセラミッククラウンに色をあわせるのが難しかったのですが、患者さんには満足していただきました。 |




