歯の怪我 【折れた歯は必ず探して持ってきて】
今日は院長の江俣です。
今回は歯の怪我についてお話しします。歯を抜く原因は歯の怪我(外傷)が20パーセントといわれています。歯の怪我で重要なのは適切な時期(できるだけ早く)に適切な方法(歯の外傷の診断と技術力)で治療することです。
一昨日、夕方中学生の男の子が歯が折れてしまったと電話あり、予約の患者様には待っていただいて緊急で診察しました。なぜなら歯が助かるか助からないかは時間との勝負だからです。
今回のように歯の怪我でもっとも多いのが歯の破折です。折れた歯をさがして歯医者さんへ持っていき、元の歯にしっかりと接着してもらえばコンポジットレジンで治療するよりはきれいに治ります。
![]() |
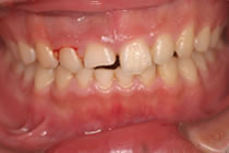
夕方自転車で転倒し唇も切ってしまいました。 |
![]() |
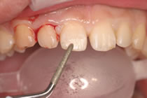
歯が半分折れて神経も出てしまいました。適切な治療を行えば神経はとらなくても大丈夫です。 |
![]() |
||
折れた歯です。捜して必ずもってくるように伝えました。 |
![]() |
折れた歯が戻るか確認します。 |
![]() |
||
![]() |
![]() |
折れた歯をきれいにつないで神経を取らないためには、歯の外傷治療の知識と技術が必要です。 |
![]() |
![]() |
治療後です。 歯の神経も取らずにすみました。 |



