プロビってなんですか?2
みなさん今日は、院長の江俣です。
いや~今日も寒いですね。来週あたり宇都宮も桜のお花見ですが、これでは花見にも行けませんね。
前回の続きでプロビにはいくつもの重要な役目がありますとお話しました。
4年前に咬合・補綴でご指導いただいた大阪SJCDのI・Y先生は「私の臨床の50%以上の時間は、プロビジョナルレストレーションの調整に費している。しかし25年前USC大学の偉大な故Drレイモンドキムのオフィスで、彼がプロビジョナルレストレーションの調整に半日かけてたが、その重要性が理解できずいたことを悔やまれる。」といっていました。
とくに審美歯科治療をおこなうときには、プロビジョナルレストレーションの調整が全てです。
では、最近の治療例をご紹介します。
患者さんは、前歯の被せ物や、歯の隙間が気になり、前歯を綺麗にしたいということでした。
治療方法として
を説明し、患者さんは治療期間の問題や歯をできるだけ削りたくないとのことでセラミッククラウンブリッジとダイレクトボンデイングの治療法を選択しました。
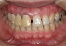
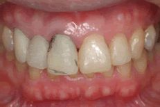
![]() |
向かって左側の被せ物は色や形態もおかしく、歯肉も腫れています。右側は隙間が先天的にあります。バランス的に難しいですね。 |
![]() |
|
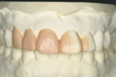
![]() |
診断用ワクシングです。建物の設計図のようなものです。最終的ゴールをイメージし、問題点がわかります。 |
![]() |
|
![]() |
被せ物をはずすと被せ物と歯があっていないため歯肉が腫れていました。 |
![]() |
|
![]() |
プライマリー・プロビジョナルレストレーション。1回目のプロビです。歯肉の炎症の改善が目的で、テンポラリー(業界用語でテックといいます。)の役割が大きいです。 |
![]() |
|
![]() |
セカンダリープロビジョナルレストレーション。2回目のプロビです。向かって右側は診断用ワクシングからデユプリケートしてダイレクトボンデングをおこないました。 |
![]() |
|
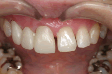
![]() |
セカンダリープロビジョナルレストレーション。2回目のプロビです。ここがもっとも重要です。口腔内でプロビを削ったり足したりして(印のあるところ)患者さんの満足のいく形態にもっていきます。 |
![]() |
|
![]() |
ファイナル・プロビジョナルレストレーション 最終的なプロビでこれを日常で患者さんさんが使っていただいて、満足いけば、この情報を技工士さんに正確に伝えます。 |
![]() |
|
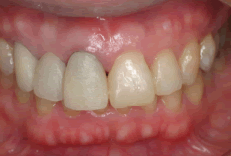
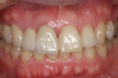
![]() |
出来上がりです。 患者さんはとても喜んでいました。 |








