奥歯は前歯を守り、前歯は奥歯を守る。
みなさんこんにちは院長の江俣です。
桜が満開の季節になりましたが、毎日暖かったり寒かったりして体調管理に気をつけないといけないですね。
歯科関係以外の方から、プロビの話は、マニアックすぎてよく分からないとうことなので、(笑)わかりやすい、かみ合わせのお話を今回はしますね。
奥歯を治療せず、前歯だけを治療してくださいという患者さんが来られるケースがよくあります。
しかし、前歯は臼歯に守られていて、臼歯(奥歯)が無いままの状態で長期にわたり過ごしていますと、その結果前歯もガチガチ当たりだし、いくら前歯を綺麗に治療しても、長く持ちません。奥歯が前歯を守っているのです。
その反対に奥歯は垂直的な力には強いのですが、水平的(横揺れ)な力には非常に弱いのです。一方前歯、特に犬歯(糸切り歯)は根が長く横の力には強い形をしています。顎が前後や左右の水平方向に動くとき(はぎしり、)横揺れの力が奥歯に伝わるのを防いでくれるのが前歯です。
前歯が奥歯をまもっているのです。よって一口腔単位での治療が重要性です。
では最近の治療例をご紹介します。
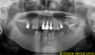
患者さんは女性のかたで、前歯がとれてしまい、このさい前歯を綺麗に治したいと来院しました。
お口の中を診査しますと、奥歯はほとんど崩壊状態でした。
患者さんに一口腔単位での治療が重要性をご説明し、奥歯をしっかり治療することにしました。
![]() |
![]() |
![]() |

入れ歯は絶対いやなので、インプラント治療をご希望されました。恐怖心が強かったのですが、麻酔医専門医の協力のもと静脈鎮静法を併用してインプラント治療だったのでとても楽とうことでした。このあと左上の奥歯に骨造成(サイナスリフト)をしてインプラント治療を行う予定です。
![]() |
![]() |
![]() |






