ウォーキングブリーチング(内部漂白)
皆さんこんにちは院長の江俣です。
一気に涼しくなりましたね。
秋分の日はできるだけ家族でお墓参りに行きます。お花とお線香をあげ、手を合わせる。心が落ち着きますよね。
さて歯科の話にしましょう。
昨日はウォーキングブリーチング(内部漂白)をした患者さんが綺麗な歯になり笑顔で来院しました。
患者さんは14歳の中学生女の子です。
当院のホームページを見て宇都宮の東方から時間をかけてお母さんと一緒に来院されました。
前歯を数年前に神経をとってしまったので向かって右の前歯が変色してます。年齢的に前歯は気になりはじめますよね。ラミネートも綺麗にしあがりますが、20歳前は出来るだけ前歯は被せないほうがよいですよ。
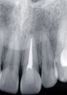
治療前
![]() |
レントゲン像 向かって右の白い部分は神経をとってしっまたからです。 |
治療後
![]() |
|
歯はまったく削ってません。
○○さんよかったですね。笑顔がとても綺麗ですよ。

