抜歯即時無切開インプラント
みなさんこんにちは、院長の江俣です。
宇都宮市には、名物焼きそば屋さんがたくさんあります。
昨日は休診日でして昼食は「あおやぎ」さんで焼きそばをたべました。
メニューは焼きそばのみですがキャベツ、イカ、肉、玉子の組み合わせで、キャベツはシャキシャキ、玉子は見事な半熟で、半分くらい食べたところで黄身を混ぜマイルドな焼きそばになります。
![]() |
![]() |
では歯科の話ににしましょう。
当院では最近のインプラント治療は症例によりますが、抜歯即時無切開インプラント治療が多いです。
早く、痛くないので患者さんの負担はだいぶ軽減してます。
一昨日も抜歯即時無切開インプラント治療の治療が終わりましたので紹介します。
レントゲンで見ると根の先に大きな病気(根尖病変)があり、また歯自体も割れてしまっています。
相談の結果、抜歯してインプラントとすることになりました。
このような場合、一般的には抜歯して2ヶ月後に再度インプラントを埋める手術を行いますが、もちろん全てのケースで可能というわけではありませんが、このケースでは出来るだけ患者さんの負担を減らしたいという観点から抜歯と同時に無切開でインプラントを埋めることにしました。
![]() |
![]() |
| レントゲン像です。 大きな根の病気ができています |
歯根も歯折していました。 |
![]() |
慎重に抜歯します。 |
![]() |
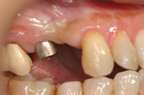
切開をせずインプラントを埋入します。 |
![]() |
1週間後です。切開してないので歯肉の治りも早いです。 |
術後 |
![]() |
|
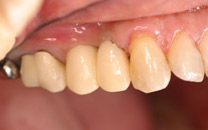
ソケットリフトもおこないました。 |
|







術後