グラフトレスコンセプト(骨造成をしないインプラント治療)
みなさんこんにちは院長の江俣です。
3月になりました。つい先日、お正月だと思っていたのですが、もう2ヶ月たってしまったということですね。
さて先週はグラフトレスコンセプトのよるインプラント治療をおこないました。
- グラフトレスコンセプトとは
- インプラントを埋入するための充分な骨の幅や高さがない場合、骨造成(顎の骨を増やす)という外科手術が必要です。しかしCTやコンピュータ・シミュレーションによる精密な診断や精確な手術が可能になったことから、より短いインプラント(ショートインプラント)や傾斜埋入、オールオンフォーなど・骨造成を行うことなく行うインプラント治療です。そのため患者さんには身体的負担や経済的負担がかからなくなりまいた。
しかし症例によっては、どうしても骨移植や骨造成が必要となる場合もあります。
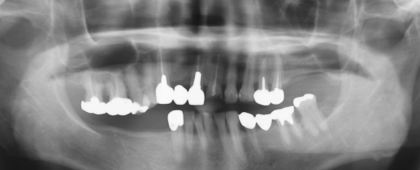
先週おこなった上顎のインプラントの手術は上あごには十分な骨の高さがありませんでしたが、CT検査から内側に骨があることが診断でき傾斜埋入をおこない、骨造成を回避できました。傾斜埋入とは、インプラントを顎の骨に対して斜めに埋入する治療法です。
![]() |
治療前 |
|
向かって右側上あごにインプラントの治療をおこなう予定ですが、骨の高さが不足しています。 |
|
![]() |
CT検査から内側に骨があることがわかりました。 |
![]() |
術後 |
![]() |
内側の骨を利用し傾斜埋入をおこない、骨造成を回避できました。 |



