地震と原発危機1
みなさんこんにちは院長の江俣です。
震災から2週間が過ぎ、この間は気分的にも新着トピックを積極的に更新する心境にはなれなかったです。毎日のようにテレビやラジオで現地の悲惨な状況、放射能汚染の問題も浮上しています。同級生のいわき市で開業している友人や、勉強会の仲間の郡山で開業している先生のことを考えると胸が痛みます。
電気の問題でも毎日当たり前のようにつかう電気、あまりに無駄遣いが多かったことを考えてしまいます。できることは節約、節電、経済が停滞しないように前向きにできる限りのことをするしかないです。
ガソリン不足も解消されてきましたが、県北(さくら市)から片道25キロかけて歯周病治療に通院している患者さんが今日も来院しました。ありがたいことです。
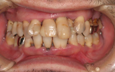
治療前 歯石、歯垢がたくさん付着していました。
![]() |
|
![]() |
|
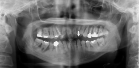
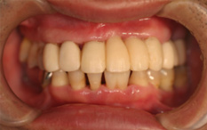
治療中
抜歯、インプラント、再生療法を行い、仮歯で様子をみてます。○○さん。もうすこしです。頑張りましょう。
![]() |
|
![]() |
|



