地震と原発危機3
みなさんこんにちは院長の江俣です。
震災から3週間、当院も落ち着かない日が続いていましたが、だんだん通常に戻り始めたようです。3,4月に行われる予定だった歯科関連の様々な研修会や講演会、歯科医師会合が中止や延期が多いため、休診日は開いた時間が多くなりました。逆にこういう時にしかできないこともいろいろありますね。今回の震災で日本の歯科医療も1年ぐらいは遅れを取るかもしれません。なぜならカリフォルニア大学(UCLA)では、教官の日本への渡航禁止命令が発令されました。よって海外の著名なドクターは講演会依頼を引き受けない可能性が高いからです。
私にできることはなんだろうと考えてみると、今日の仕事をきちんとこなすしかないと思います。
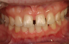
今日は前歯の隙間(俗にすきっ歯)治療の患者さんの治療を行いました。
前歯の隙間(すきっ歯)は部分矯正かラミネートベニヤが理想的ですが、早い(1日で終わった)、安い、歯を削らない、ので患者さんはダイレクトボンデイングを選択しました。
治療前
![]() |
|
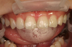
治療後
![]() |
歯科専門誌に載るような芸術的作品ではないですが患者さんはとても喜んでいただきました。
前歯を綺麗にしてほしい方は御相談ください。

