9:00~12:30 / 14:00~17:30
診療案内
〒320-0041 栃木県宇都宮市松原2-7-10
Column
新着情報
カテゴリー
みなさんこんにちは院長の江俣です。宇都宮では今週が桜の見ごろでしょう。当院の隣の桜も満開です。
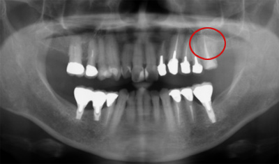
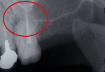
下のレントゲンは昨日、左上奥歯のお痛みが主訴でいらした患者さんです。赤丸の部位です。歯科用レントゲンではわかりずらいです。
歯科用パノラマレントゲン
歯科用デンタル
歯科CTを撮影すると頬側(赤丸)の根尖病巣(根の病気)が一目瞭然でわかります。
両者を見比べながら確認することが大切です。