診断用Wax up(ワックス・アップ)インプラント編
みなさん、こんにちは院長の江俣です。
先週まで蒸し暑かったですね。残暑といいますか酷暑でした。今週から秋の気配になりそうです。
本当に極端な天気です。
では今回はインプラント治療のお話にしましょう。
インプラント治療を安全・確実におこなうためには術前診査が非常に重要で、インプラントの成否に大きく関係してきます。単に歯のない部分にインプラントを埋入すれば良いというわけではありません。インプラントのポジションが悪いと、形態の悪い歯、かみ合わせの悪い歯が出来上がって問題をおこします。
そのためにおこなうのが診断用Wax up(ワックス・アップ).X線撮影用ステント・外科用ステントです。
診断用Wax up(ワックス・アップ)とは、インプラント治療において最終的にかみ合わせ・被せ物の位置を決めるための模型のことです。ワックスを盛り上げて形を作ります。ちょうど、家を建てるときに、小さなミニチュアの家の模型をつくるのに似ています。
では先週施術したインプラントの治療例でおはなしします。
患者様はお口の状態が非常に悪く悩んで当院に来院しました。
虫歯・歯周病・咬み合わせの崩壊など問題点が多くありました。
![]() |
初診時 |
![]() |
初診時 |
![]() |
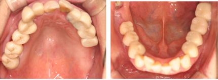
仮歯の状態 |
歯周病・根の治療・抜歯・虫歯の治療をおこない、仮歯で咬めるようにしました。
![]() |
左上・右下奥歯はインプラント治療を希望され診断用ワックスアップを製作しました。 |
![]() |
診断用Wax up(ワックス・アップ)を基にX線撮影用ステントという、透明樹脂でできたマウスピースのような型をつくります。 |
![]() |
X線撮影用ステントをいれたレントゲンです。むかって左上白い部分にインプラントがはいる予定です。 |
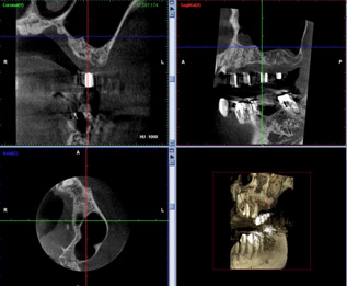
![]() |
当院では、インプラントのオペの前にステントを装着しCTによる顎の骨の分析を行います。 |
この状態でインプラントを埋入すると隣の自分の歯と接蝕してしまうこと、また骨が不足しているので骨造成が必要なことがわかりました。修正が必要です。
撮影用ステントにより得られた情報を基に修正してサージカルステントにします。サージカルステントとはX線撮影用ステントとおなじく主に透明樹脂でできたマウスピースのような型でインプラントのオペの際にインプラントを埋め込む位置を確認するために使います。
![]() |
いいポジションにインプラントは埋入できました。 |
安全、確実なインプラントオペのためにはこのように精密な診査・準備をしないといけないのです。







