より満足頂ける審美歯科治療を行う為に
みなさんこんにちは、院長の江俣です。
昨日は行きつけのお店でワインの利き酒ゲームがありました。
判定が出て、よろこぶ人もあれば、ずっこける人もあり。1本1万円のワインより、チリ産のお手軽ワインの方を飲んでいたほうがよろしいようです。
![]() |
|
では歯科の話にしましょう。
審美歯科治療、とくに前歯の治療は歯の形態/色調は、髪型と同じように患者さん個人個人の好みが大きくあります。そのため最終的な差し歯を作成していくまでの過程で、セラミック歯の完成前での確認があります。このSTEPを「ビスケット試適・調整」と言います。より満足頂ける審美歯科治療を行う為には、このようなSTEP微調整の積み重ねがとても大切で、最後には大きな違いとなります。
では当院でおこなっているビスケット試適・調整の臨床例を紹介します。
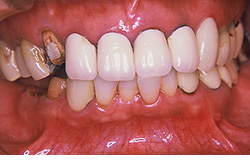
48歳 女性の患者さんです。
上の前歯の被せ物が汚くとても気になります。差し歯のやり直し、審美歯科治療を希望されました。
![]() |
|
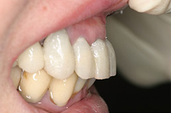
![]() |
ビスケット試適です。 |
![]() |
横からの出具合もしっかり確認します。 |
![]() |
ビスケット調整です。 |
実際のお口の中で全体的に内側にいれ、歯を若干短く、また左側に比べ右側を大きく調整しました。
![]() |
治療後 |
|
治療期間 4ヶ月 治療内容 歯周病治療 審美補綴治療 |
|
より満足頂ける審美歯科治療を行う為に治療のステップごと一緒に確認して頂きながら一歩一歩確実に治療を進める事がとても大切です。





