今年はじめての新着トピックスです。
みなさん、こんにちは院長の江俣です。
今年初めての新着トピックですね。
宇都宮ではこの冬初めての雪でした。
早速ですが、審美歯科治療のおはなしです。
では矯正治療、歯周病治療をおこない歯肉のラインをそろえて審美補綴治療をおこなった症例をご紹介します。
47歳 女性
主訴:前歯の被せ物がとれてしまい、以前治療した歯も汚いので、今回はしっかりとした見た目も奇麗なものにしたいと思います。
治療期間:4か月
治療内容:歯周病治療、審美修復治療(ジルコニア)、矯正治療、
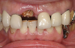
![]() |
治療前 歯肉のラインの不調和が気になります。 |
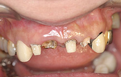
![]() |
矯正治療。 |
![]() |
矯正治療により歯肉のラインをあわせました。 |
![]() |
ジルコニア |
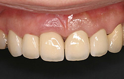
![]() |
治療後 |




