ソケットリフト? サイナスリフト?
みなさん、こんにちは院長の江俣です。
「しもつかれ」って食べ物ご存知ですか。
栃木や北関東でお正月や節分の残り物を利用した郷土料理です。初午の日に食べる風習があり鮭の頭と野菜の切り屑などを大根おろしと混ぜ酒粕で煮込んだものです。みためがよろしくないのでとかく敬遠されがちです。わたしも子供のとき、20 30、代のときは好きではありませんでしたが、いまは体によいので好んで食べています。
![]() |
|
では歯科の話にしましょう。
上顎奥歯の骨を造る技術にソケットリフトとサイナスリフト呼ばれるものがあります。
一般的に ”ソケットリフト” は初心者向けだと言われていますが、”ソケットリフト” は実は上級者向けなのでは?と思います。なぜなら”ソケットリフト” は上顎洞粘膜(シュナイダー膜)を挙上している様子を直接見ることができません。全て感覚だけで進めていかなくてはなりません。サイナスリフトも手技が進歩して以前より腫れも痛みもすくなくなっています。
昨日おこなったインプラントのオペを紹介します。
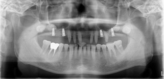
県北から来院している患者さん、55歳男性の方です。上の両方奥歯が腫れて痛んで何にも噛めず、地元の歯医者さんに診てもらったら、「上の歯は歯周病が進んでいるのでいずれ全部抜歯して総入れ歯の治療しかない。インプラントも骨がないのでできない」といわれたそうです。
歯周病がかなり進んでいますが、歯周病初期治療をしっかりおこない、「入れ歯は絶対嫌だ」とうい強い希望により、上顎前歯はブリッジ治療をおこない、奥歯はインプラント治療の治療計画です。
昨日は右下奥歯にインプラント埋入をおこない、上顎は去年、両方の奥歯を同日にサイナスリフトをおこない、同時にインプラント埋入をおこないました。
![]() |
|
上顎両側同時にサイナスリフトをおこない、同時にインプラント埋入をおこないました。
![]() |
|
丸印が昨日インプラントを埋入したところです。
上顎は現在仮歯をいれ、咬み合わせの調整をしています。
![]() |
|



