口腔内写真撮影II
みなさんこんにちは院長の江俣です。
先週は、結構神経質になる大きなケースの治療が多くありました。経過は良好です。そんなとき終わったあとはこのお店で大将とお話しておいしいお酒(芋焼酎)を頂きます。
![]() |
|
では歯科のお話にしましょう。
歯科関係者からニコンDとキャノンEOSを症例によってどのように使い分けてるの?
と問い合わせがありました。
基本的にどちらも遜色のない素晴らしいカメラで、好みの問題だと思いますが、被せ物(補綴・修復)中心のときは技工士さんがニコン派なので(シェイドがあいやすい)ニコンを使用、歯肉の色(歯周病)中心のときはキャノンを使用することが多いです。
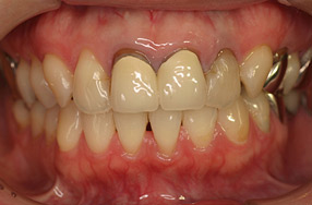
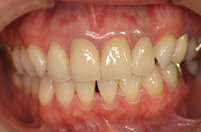
では先日治療の終わった前歯審美修復治療を紹介します。
49歳 女性
主訴:前歯の被せ物が劣化し、笑う時に差し歯の隙間が黒ずんで見えて口元が気になってしまう。前歯の見た目を奇麗にして歯の色をもっと白くしたい。
治療内容:歯周病治療+審美修復治療+漂白治療
治療期間:3ヶ月
治療材料:ジルコニアオールセラミック
初診時
![]() |
キャノンEOS10D |
![]() |
ジルコニアオールセラミッククラウン |
治療終了時
![]() |
ニコンD5100 |



