重度歯周炎の患者さんに対する総合的(包括的)治療
みなさん、こんにちは院長の江俣です。
桜前線北上の遅れにともなって、地元宇都宮では先週が桜が満開になりました。
では歯科の話にしましょう。
昨日は去年12月に重度歯周炎の治療が終わった患者さんがメインテナンスで来院しました。県北から、時間をかけて歯周病の治療に来院されました。
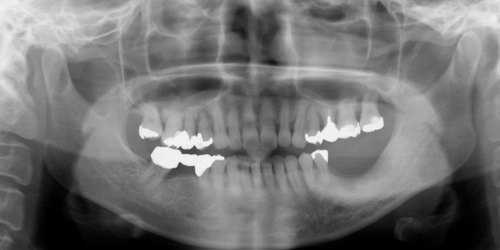
GBR(骨造成) サイナスリフト 歯肉移植 エムドゲインによる再生療法などをおこないインプラントは必要最小限で、患者さんの希望のできるだけ歯の保存ができました。
しっかりと長持ちする治療にはいろいろな意味で時間が必要です。そのために患者さんの深い理解が必要でした。頑張って通院して頂いていた患者さんには感謝しております。担当の衛生士と良好な状態が続くように最善のメインテンンスをしていきます。
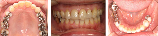
50代 女性
主訴 歯がグラグラしてかめない
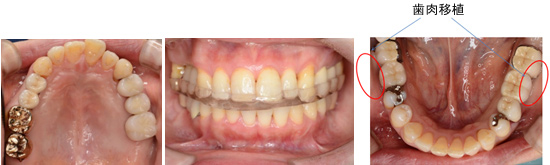
治療内容 歯周治療 再生療法 歯肉移植
インプラント治療 サイナスリフト 垂直的骨造成
治療前
|
|
|
|
治療後
![]() |
|
|



