マスコミでのインプラント報道
みなさんこんにちは、院長の江俣です。
最近マスコミ等で、インプラント治療の特集を見かけます。どちらかというとネガティブ(否定的)なイメージの報道がされています。インプラント治療は患者さんのQOL(生活の質)を向上するのに大きく貢献する有用な治療オプションである大きな利点はありますが、良い点だけでなくインプラント治療のリスクなどもしっかり説明することが重要です。またネガテブなイメージのひとつには安易に歯を抜き、インプラント治療することです。我々、歯科医師は歯をなんとか保存するために教育を受け、日々努力しているわけです。よってインプラントの専門医のまえに歯を治療し、保存することの専門医でありたいと思ってます。
多くの患者さんから当院でインプラント治療をしてよかったと言ってもらえるように、しっかりとした計画と診断をもとにルールに基づいた、正しい使い方を用いて、いきたいと思ってます。
では先週おこなったインプラント治療を紹介します。
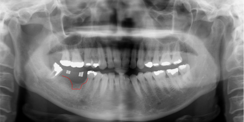
患者さんは右下奥歯の悪い歯を放置していたため、抜歯後骨がない状態です。このまま無理をしてインプラント治療をおこなうと、骨とは結合するかもしれませんが、よいポジション(位置)に埋入できず、咬めない(不適切な咬合)、インプラントの部位が腫れた(インプラント周囲炎)などいろいろなトラブルがおこります。よって骨造成も同時におこない咬めて清掃しやすい位置にインプラントを埋入する必要があります。
|
|
治療前のレントゲンです。しろい筒の位置にインプラントを埋入しますが、手前の位置の骨が喪失(赤線)してます。
奥の親知らずまったく咬合せず、ブリッジの土台になりません。
![]() |
インプラントが露出してしまっています。 骨造成が必要です。 |
![]() |
骨補填材で埋めます。 |
![]() |
生体親和性の良い吸収性メンブレン(膜)を設置します。 |
|
|
理想的な位置に埋入しました。




