モックアップってなんですか?
みなさんこんにちは、院長の江俣です。
以前も新着トピックスで紹介しましたが、当院ではすきっ歯のことで悩んで来院する患者さんが多いですのですきっ歯(正中離解)のおはなしをしましょう。
すきっ歯(正中離解)はポーセレンラミネートベニヤ治療が有効です。この治療では重要なのが、診断用ワックスアップとモックアップです。モックアップとはラミネートベニヤで使用する仮歯の一種です。歯を削らず患者さんと最終のイメージを確認する為に、短期間入れていただきます。これを患者さんに数日つけてもらって最終的なイメージをチェックしてもらいます。
では治療例を紹介します。
患者さんは25歳女性の方です。7月上旬に結婚式のためスキッ歯(正中離解)を治してほしいとホームページをみて来院しました。時間はないので矯正治療はできません。患者さんの要望は歯は削らないでほしいといことです。患者さんは正中離解のほか、歯が捻転してました。このケースは歯を削らないボンデッド(接着性)ポーセレン・レストレーションが有効です。
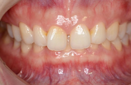
![]() |
すきっ歯が以前から気になっていたそうです。7月の結婚式にあわせ治したいそうです。 |
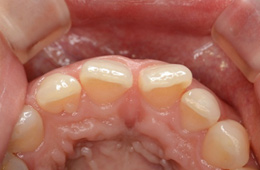
![]() |
歯が捻転をしています。このケースでは歯は削らないほうがきれいに仕上がります。 |
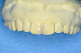
![]() |
診断用ワックスアップ。 技工士さんと捻密に最終形態の仕上がりを議論します。 技工士さんの技術力も非常に重要です。 |
![]() |
診断用ワックスアップからできたモックアップです。 |
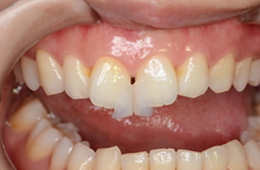
![]() |
モックアップを口腔内に合わせます。歯は全く削ってません。 |
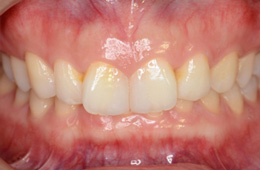
![]() |
モックアップをつけた状態です。数日つかっていただきます。患者さんは数分で劇的に変わったので喜んでいただきました。 治療途中なのでまた報告します。 |





