9:00~12:30 / 14:00~17:30
診療案内
〒320-0041 栃木県宇都宮市松原2-7-10
Column
新着情報
カテゴリー
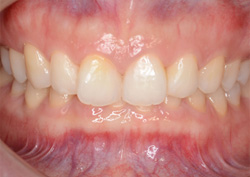
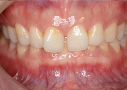
みなさんこんにちは院長の江俣です。前回新着トピックで紹介した、歯を削らないボンデッド(接着性)ポーセレン・レストレーションの治療例ですが治療が終わりました。患者さんは今週ハワイで結婚式をあげてます。間に合ってよかったです。結婚式など、大事なイベント前に歯をきれいに治療することは、大切な日がよりいっそう輝けますね。
治療前
治療後