メデイアでの歯科関係の話題
みなさん今日は、院長の江俣です。
マスコミではよく歯科関係の話題が取り上げられます。我々歯科関係者にとって内容が的を得ているものもあり専門医からみて疑問に思う内容もあります。その度ごとに患者さんの反応が様々なのでその対応に戸惑うことがあります。
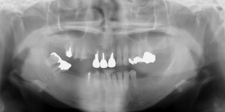
最近ではインプラント治療における報道がおおいですね。これはある意味では我々歯科医にもう一度本当に大切なことは何かを考えることにもなったと思います。インプラント治療は適応症によっては、これほど有益な治療法はありません。しかし、重要なことはインプラント治療を行なわなくても済むようにもっと天然歯を守る歯周治療 歯内治療(根の治療)咬み合わせ治療を積極的にすることではないでしょうか。それでもどうしても天然歯を保存することが出来なかった時にインプラント治療は有効な手段となります。
先日インプラント治療を有効にもちいて治療が終わった患者さんがメンテナンスで来院しました。インプラント治療を有効に使い咬み合わせの低下、変位(咬合治療)を治す治療をおこなう包括的治療(総合治療)をおこないました。
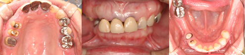
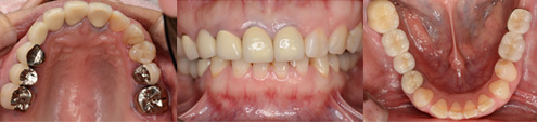
43歳 女性
主訴 奥歯で物が咬めない
治療内容 歯周病治療 咬合治療 インプラント治療 歯内治療(根の治療)
治療前
![]() |
|
![]() |
|
治療後
![]() |
|
![]() |
|



