歯のコンプレックス3(矯正治療+歯周形成外科+ホワイトニング+ジルコニアブリッジ)
みなさん、こんにちは院長の江俣です。
今週から4月です。当院前の桜も満開です。
![]() |
さて今回も口元でお悩みの患者さんの治療例をご紹介します。患者さんは以前から前歯をきれいに治したい、被せ物の色を改善したいということで相談に見えました。このような場合、単にセラミックを入れて終わりにするというだけではいい結果はでません。矯正治療+歯周形成外科+ホワイトニング+ジルコニアブリッジの治療計画をご提案させていただきました。
35歳 女性 治療期間:1年半
治療内容:歯周病治療(歯周基本治療、歯周形成外科)、矯正治療、審美修復治療(ホワイトニング、ジルコニア)
初診時
![]() |
|
| 歯と歯肉のバランスがよくありません。色のあってない被せ物も気になります。 | |
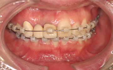
矯正治療
![]() |
|
| 歯並びの改善を希望されている方は数多くいらっしゃると思いますが、既にかぶせ物が多く入っていたり、歯周病を患っている方は、矯正単独では治療結果に限界が出てしまいます。 | |
ホワイトニングと歯周形成外科後
![]() |
|
| 右上前歯の歯肉のラインは完璧ではありませんが、患者さんは大変満足していただきましたので、最終治療にいきました。 | |
![]() |
|
| 金属を全く使用しないジルコニアオールセラミッククラウン | |
治療後
![]() |
|
| 患者さんは治療期間などいろいろな面で負担がかかりましたが、大変満足していただきました。 より輝く笑顔のために当院では最善のサポートをいたしています。口元でお悩みの患者様は、遠慮なくご希望や疑問点など相談ください。 |
|





