インプラント周囲炎
みなさん、こんにちは院長の江俣です。
今回は、現在世界各国のインプラント学会で最も大きなトピック、問題になっているインプラント周囲炎を数回にわけてお話しします。
現在、インプラント治療は特別な治療ではなくなり多くの患者様が受けられる治療になりました。しかし、それに伴って大きな問題になってきたのが「インプラント周囲炎」です。インプラント周囲炎とは「インプラントの歯周病」のことです。インプラントは虫歯にはなりませんが天然歯より歯周病になりやすく、重度に骨がなくなってしまうのです。最新の学会情報、論文ではインプラント周囲炎の進行をある程度抑える治療法はできますが、完全な治療法は現在のところ、世界的にも確立してません。一番大切なことは、インプラント周囲炎を起こさせないということです。よってインプラント治療を行う際は、専門的な歯周病への配慮、または歯周病治療の知識、技術が必要になります。
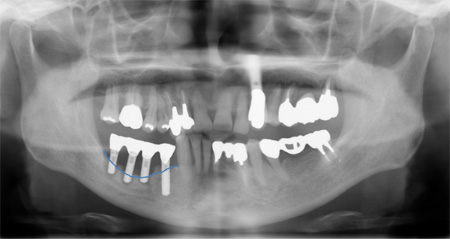
先日歯肉が腫れる、グラグラすると来院された患者さんのレントゲン写真です。 天然歯も重度の歯周炎です。そして向かって左側にインプラント周囲炎がおこり骨がなくなっています。
![]() |
|
次回もこのお話を続けていきます。
