接着治療とラバーダム防湿
みなさんこんにちは院長の江俣です。
猛暑だったり、涼しかったり気温の差がはげしい毎日ですが、わたしは夏が一番好きです。
では歯科のお話しにしましょう。
現在、虫歯治療の主流は“接着治療”が多くなってきてます。接着治療とは強力に歯と結合する性質を持つレジン接着材とコンポジットレジン(詰め物)で健康な歯を極力残して虫歯部分だけを削り取る治療です。しかし湿度100%のおくちの中では歯と材料表面に水蒸気が付着し呼気中の水蒸気の影響を遮断するためラバーダム防湿が必須です。
![]() |
|
|
乳歯の奥歯部分、歯の間の虫歯治療です。 |
|
![]() |
|
|
う蝕検知液を用いて軟化象牙質を染色して除去します。 |
|
![]() |
|
|
エルビウムレーザーで感染象牙質をとります。 |
|
![]() |
|
![]() |
|
|
歯髄近接部分にセラカル LCを充填し歯髄保護をしました。 |
|
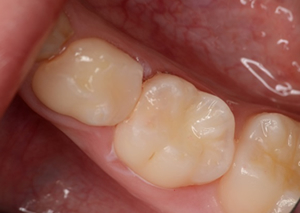
![]() |
|
|
コンポジットレジン充填を行い、咬合調整を終えました。 |
|





