虫歯治療
みなさんこんにちは、宇都宮市で歯科医院を開業している江俣です。
今回の歯科の話は「虫歯治療」です。
前回お話したように再根管治療(RE TERATMENT)になると、成功率が低くなってしまいます。よって再根管治療(歯内治療)はできるだけ「しない治療」が必要です。そのためにはできるだけ虫歯治療で神経をとらないことです。
皆さんは虫歯治療は何が一番大切だと思われますか?私が一番大切だと思うことは感染している部分を除去したら二度と感染させないことだと考えています。そのためには可能である限り、ラバーダム防湿をすることと考えてます。
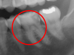
下の写真は奥歯の歯と歯の間の虫歯が大きく神経まで達していたケースですが、ラバーダムがなければ、唾液や血液で象牙質また神経(歯髄)が汚染されてしまいます。
![]() |
![]() |
![]() |
|
エナメル質はErレザーで除去します。 |
![]() |
|
虫歯(感染象牙質)は切削ドリルを使用せず、エキスカベーター(手用切削器具)で慎重に除去します。理由は健康な歯を無駄に削るのを避けられるからです。しかし非常に時間がかかります。治療効率を求められる保険診療では、切削ドリルを使うことが圧倒的多いです。 |
![]() |
|
スプーンエキスカベータです |
![]() |
|
神経が露出(露髄)したのでMTAセメントで直接覆髄しました。 |
![]() |
|
MTAセメントとは、1993年に米国で開発され 直接覆髄材に求められる理想的な性質として、非常に高い評価をうけています。 この後は、来週予後をみて修復処置を行う予定です。 |
|
以下は先週新着トピックでお話した石井先生主宰のPENN ENDO STUDY CLUB IN JAPANのラバーダム防湿の重要性の動画です。 |






