歯牙移植
みなさん今日は、宇都宮で歯科医院を開業している江俣です。
もう11月なのですから、当然なのですが・・・肌寒くなってきました。外を歩いていても、一気に皆さんの服装が変わりました。この後、強い冷え込みに要注意ですね
![]() |
では歯科のお話にしましょう。
先週は歯牙移植の手術が多くありました。
親知らずがあるからといって必ずしも移植ができるわけではありませんし、インプラントの方がシステム化されていて、成功率も高いことからも、歯の移植を勧めない先生もいらっしゃいますが、私は、原則さえ守れば成功率の高く有用性のある治療だと考えております。
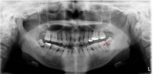
■37歳 女性 左下奥歯が腫れて痛い
![]() |
|
治療前のレントゲン |
![]() |
|
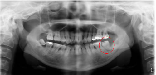
移植後 |
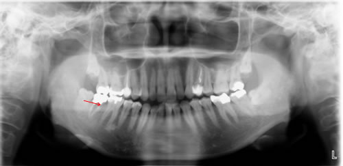
■41歳 女性 主訴 左下奥歯に食べ物がはさまる。
![]() |
|
治療前のレントゲン |
![]() |
|
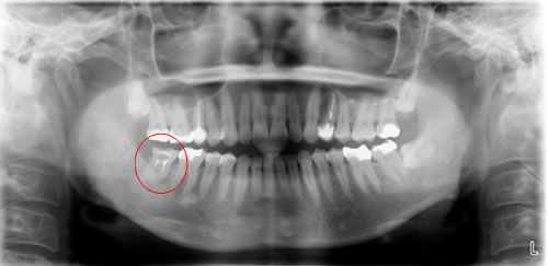
移植後 |




