根分岐部病変の最新の治療法
みなさんこんにちは、院長の江俣です。
歯周治療の中でも、もっとも難しいものの一つに根分岐部病変というものがあります。これは複数の歯根を持つ大臼歯で起こる歯周炎で、「歯周病を制することは、根分岐部病変を制すること。」といわれるくらい、大変難しいのです。そのため、進んだ根分岐部病変が生じた歯は抜歯をすべきであるという意見を持つ専門医も少なくありません。
![]() |
|
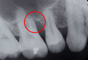
赤い部分が分岐部です。 最新の分岐部病変治療においてCT画像診断と、エルビウムヤグレーザー(歯や骨を削ることができる厚労省から認可されたレーザーです)を使用したエムドゲインによる再生療法で、かなり良い結果がでるようになりました。ただし、再生療法を成功させる上で、まず一番重要な事は『適応症・欠損形態を十分に吟味し診断する事』です。適応症を誤れば期待した再生の結果を得ることは出来ません。 |
| 42歳 男性 主訴 奥歯が腫れて咬むと痛い |
![]() |
|
赤い部分の骨が破壊されています。 |
![]() |
|
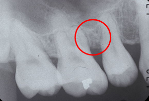
CT画像です。内側から分岐部まで破壊されいます。外側の骨は破壊されていません。 |
![]() |
|
エルビウムヤグレーザーを使い再生療法をしました。 |
![]() |
|
治療後のエックス線像、骨が再生されました。 |




