歯根露出(歯の根っこが見えている歯が長くなった状態)の治療
みなさん、こんにちは院長の江俣です。
先週は結合組織移植術による根面被覆治療をおこないました。
歯列不正や、歯軋り・強すぎるブラッシング圧で歯肉が退縮してしまう事があります。
『歯肉退縮』は、歯根が露出し“知覚過敏”が引き起こされる、“歯面が楔状に欠損”してしまうなどの問題が起こる事があり、特に問題となるのは前歯です。審美性が重要視される前歯部においての歯肉退縮は、歯肉のラインが不規則になり“審美的に大きな問題”となるからです。その対処法として、結合組織移植術による根面被覆治療があります。
当院では歯周病を専門におこなっているので歯肉退縮にはレジン充填などの対処療法とは1線を画する治療をおこなっています。
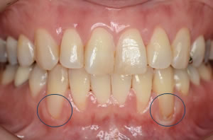
![]() |
|
青丸が歯肉退縮しています。 |
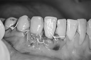
![]() |
|
結合組織移植術による根面被覆治療です。 |

