リッジエスクパンション(骨幅の狭いところへのインプラント埋入)
みなさん、こんにちは院長の江俣です。
今朝も川沿いをウォーキングしました。生活のリズムができて体調もよくなります。
話は変わって、先週は上顎前歯にリッジエスクパンションとスプリットクレストというテクニックでインプラント埋入治療をおこないました。
インプラントを埋入したいのですが、上顎前歯では骨が細くなりすぎて出来ない場合があります。顎にクサビのような形の特殊な器具を挿入し、二分割して骨を広げ、その隙間にインプラントを埋入します。これをスプリットクレストと言います。
また骨にドリルをするのではなく、削らずに拡大して行く方法でインプラント治療をおこないます。これをリッジエクスパンションと言います。
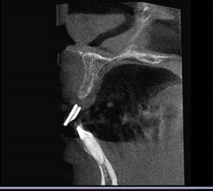
上顎前歯の術前CT像です
![]() |
|
顎骨が山の稜線のように3角に薄くなっています。 |
![]() |
|
リッジエクスパンション用の器具です。 |
![]() |
|
スプリットクレストの器具です。 |
術後のCTです。
![]() |
|
リッジエクスパンションはドリルを使わないので患者さんにも優しく外科的侵襲も少ない良い方法です。 |



