結合組織移植(歯肉が痩せて下がってきた時の治療法)
みなさん、こんにちは院長の江俣です。
5月下旬は1年でいちばん過ごしやすい毎日ですね。
では歯科のお話にしましょう。
今年の新着トピック2月25日に紹介したその後の治療例を紹介します。
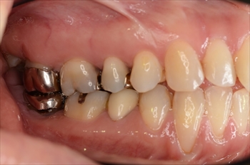
患者さんは歯ぐきが下がって歯が見た目にも長くなり、根が露出し冷たいものがしみる、というご相談で来院されました。
根本的な原因である歯肉の厚みを改善する治療を結合組織移植術といいます。
|
治療前 下顎犬歯(糸切り歯)には対処療法としてコンポジットレジンが充填されています。 |
![]() |
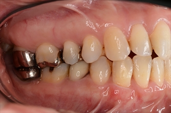
| 治療後 |
![]() |
|
治療後3か月ですが、歯肉の厚みが改善され、露出した歯の根の部分が少なくなっているのがお分かりになると思います。 |

