壊死性潰瘍性歯肉炎
みなさんこんにちは、院長の江俣です。
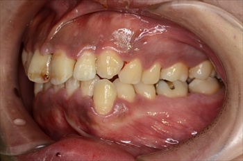
先週患者さんが救急で、「歯肉からの出血があり、歯肉が痛くてたまりません。」が主訴で来院しました。
歯肉をよくみると、歯肉が壊死して歯間乳頭部が陥没しています。急性壊死性潰瘍性歯肉炎が疑われます。当院には年に数人来院します。
重症になると、発熱、頭痛、倦怠感(けんたいかん)、などが現れることもあります。
原因は口腔内を不潔にしていることですが、そこに過度なストレス、過労などが原因です。
治療法はまず抗菌剤(メトロニタゾール)の投与とクロルヘキシジン溶液の洗口が第一選択です。疼痛がひどくブラッシングはできません。またスケーリングやプロービングも避けたほうがいいでしょう。
痛み、症状が治まったあとに、通常の歯周基本治療をおこないます。
![]() |
|
30代の女性。歯肉の疼痛を訴えて来院。 |
![]() |
|
歯間乳頭部(歯と歯の間の歯肉)が陥没しています。 |
.
![]() |
|
抗菌剤投与、クロルヘキシジンの洗口のみ8日の状態です。歯肉壊死は消失し、発赤や疼痛のなくなりました。これから通常の歯周基本治療をおこないます。 |


